아하
  • 토픽

  • 스파링

  • 잉크

  • 미션


의료상담

그런대로즉흥적인원숭이

그런대로즉흥적인원숭이

중1 여자 아이 교정진단 부탁드립니다.

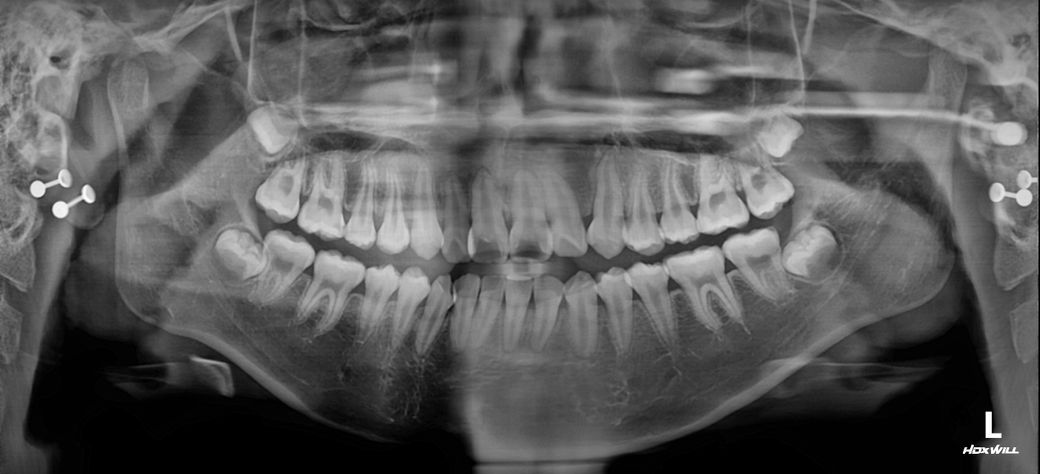
앵글씨 몇급인지 궁금합니다.

의사 선생님마다 소견이 다르셔서 혼란 스럽네요.중1 여자 아이구요.시기적으로 지금 교정을 시작하기에 적절한지 궁금합니다.

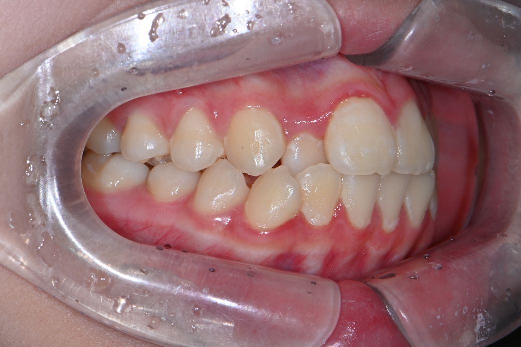
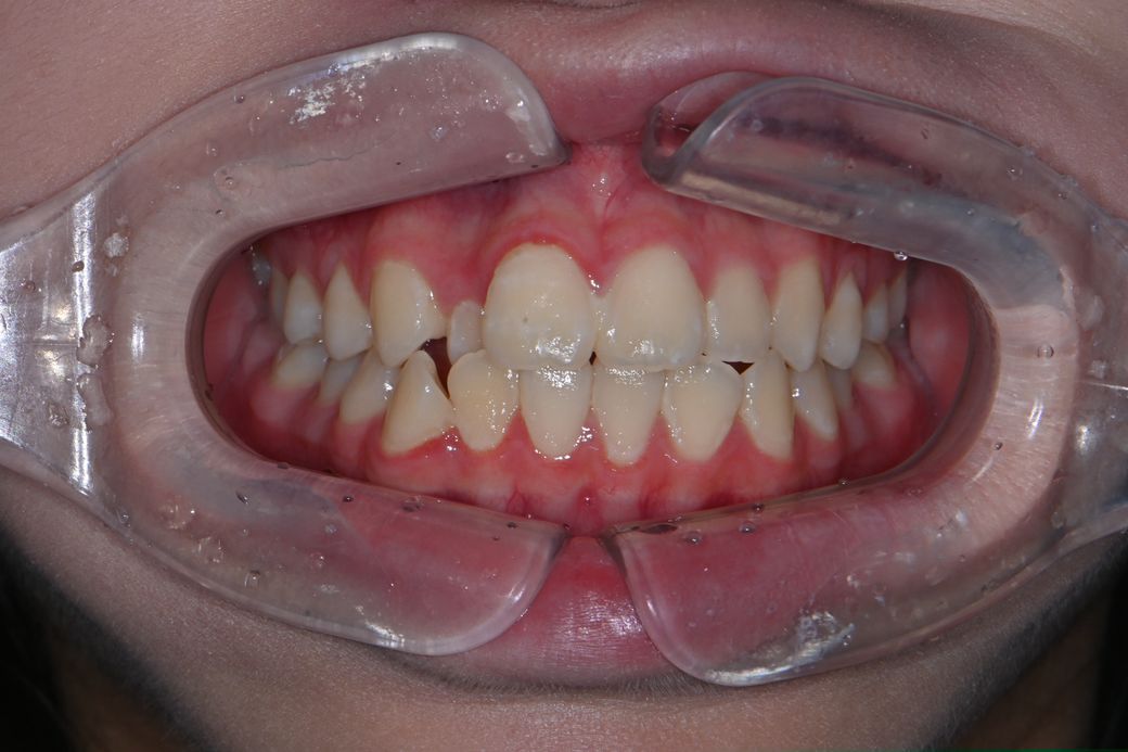
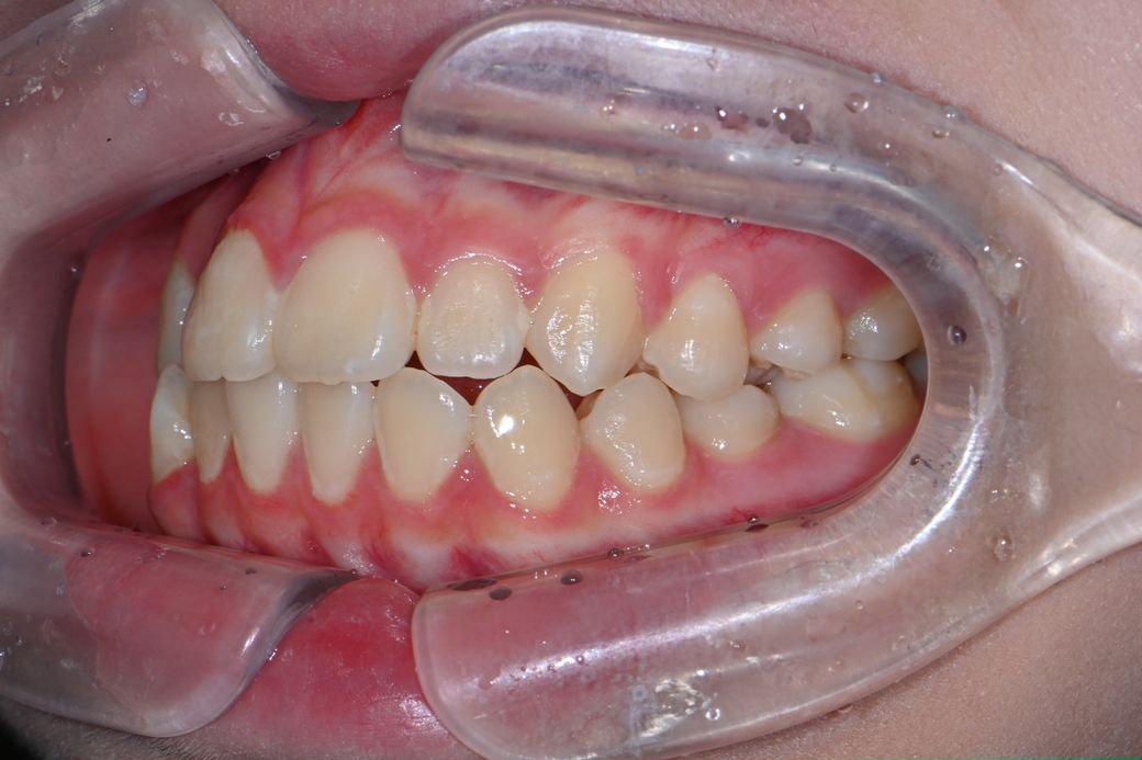
  • 1번 째 사진
  • 2번 째 사진
  • 3번 째 사진
  • 4번 째 사진
  • 5번 째 사진
  • 6번 째 사진
  • 7번 째 사진
  • 8번 째 사진
  • 9번 째 사진

2개의 답변이 있어요!

  • 송우식 치과의사

    송우식 치과의사

    솔플란트치과 경기도 성남시 모란역

    안녕하세요. 송우식 치과의사입니다.

    앵글 2급 부정교합이며, 지금 교정하는 것이 좋을 것으로 보입니다. 더 늦어지면 교정이 까다로워 질 수도 있습니다. 지금 현재도 쉬운 케이스는 아닙니다.

  • 안녕하세요. 김철진 치과의사입니다.

    앵글씨 부정교합측면에서 보면 1급인거 같고 치열이 좋지 않아서 중학교 1학년이면 교정을 시작하셔도 괜찮을 시기인거 같습니다.