의료상담
55글자 더 채워주세요.
3개의 답변이 있어요!
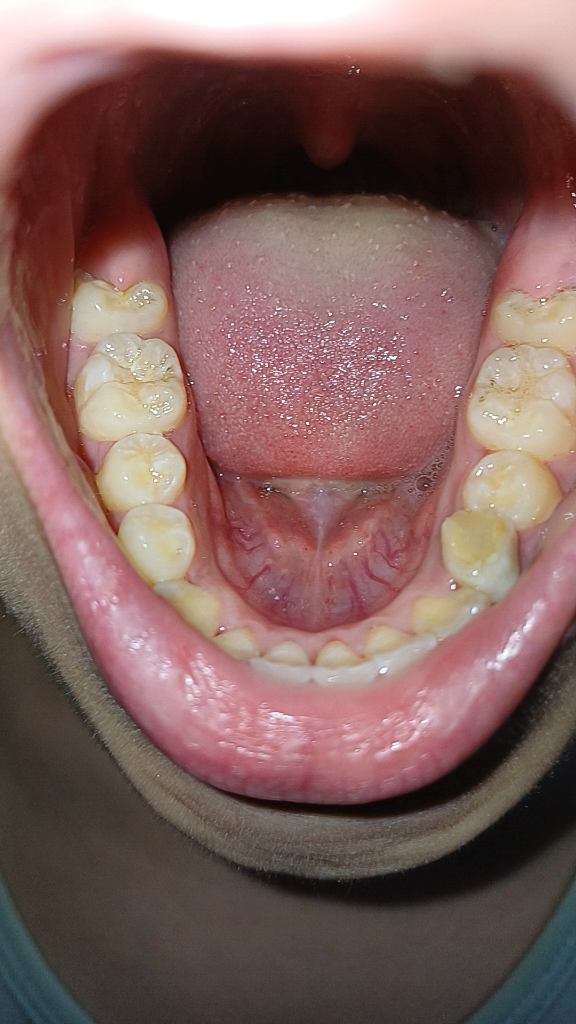
안녕하세요. 김지훈 치과의사입니다.
유치를 뽑은 후에 교정을 통해 본래 치아의 위치로 끌어올려줘야 할 가능성이 높아보입니다.
안녕하세요. 김철진 치과의사입니다.
치아방향이 많이 안좋아서 똑바로 맹출되기는 어려워 보이고 교정을 하셔야될것같습니다.
안녕하세요. 안상우 치과의사입니다.
영구치에 맹출 방향이 정상적이지 않은 상태이기 때문에 유치를 뽑는다고 해도 정상적으로 맹출될 가능성은 매우 낮습니다.
교정 등을 통해서 치아를 변이 나거나 발치 후에 교정을 통해서 치열을 바르게 하는 것이 좋을 수 있습니다.
아직 유치가 흔들리는 것이 아니라면 위치를 조심히 사용하는 방법도 있습니다 자세한 확인을 위해서 교정 치과에서 진료를 받아 보세요.

