아하
  • 토픽

  • 스파링

  • 잉크

  • 미션


의료상담

조신한황로194

조신한황로194

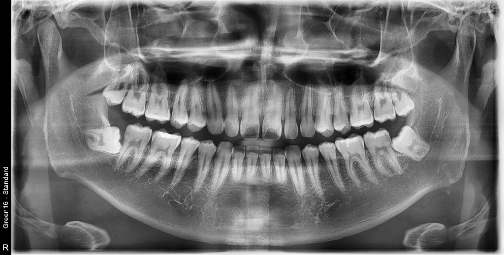
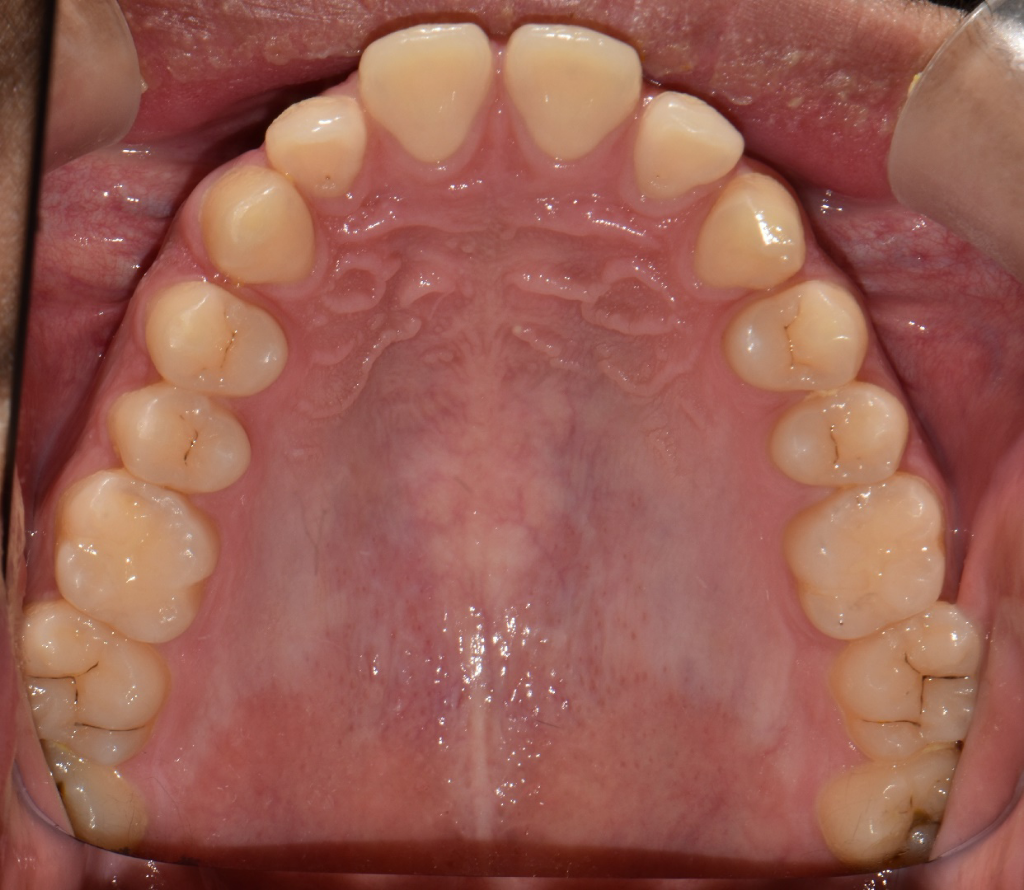
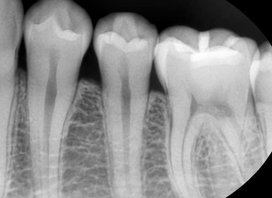
충치가 상아질까지 뚫었을까요?

상기된 사진과 같은 치아상태에서 의사선생님이 국소적 법랑질우식이있으나 지켜보자했습니다. 헌데 요즘 게을러져서 한달 반정도를 4일에한번주기로 꼼꼼하게양치하고 치실질하는 식으로 했었는데요, 이것이 충치를 한달 반동안에 신경치료해야할만큼 위험하게 번질수도있나요?












21세 남성이고 3년간 안닦았다가 법랑질에 우식생긴이력이 있는지라 좀 우려스럽습니다

  • 1번 째 사진
  • 2번 째 사진
  • 3번 째 사진
  • 4번 째 사진
  • 5번 째 사진

2개의 답변이 있어요!

  • 송우식 치과의사

    송우식 치과의사

    솔플란트치과 경기도 성남시 모란역

    안녕하세요. 송우식 치과의사입니다.

    사진에서 보기에는 범랑질 표면에 살짝 표면충치가 생긴 것으로 보입니다. 범랑질 표면에 생긴 충치가 한달반 만에 상아질로 까지 진행될 가능성은 희박합니다.

  • 안녕하세요. 김철진 치과의사입니다.

    충치가 교합면에도 잇고 치아 사이에도 충치가 잇는거 같습니다. 치료를 받으셔야될것같습니다.