아하
  • 토픽

  • 스파링

  • 잉크

  • 미션


의료상담

정직한황여새196

정직한황여새196

발치 후 옆 이빨이 시려요. 원래 이런가요?

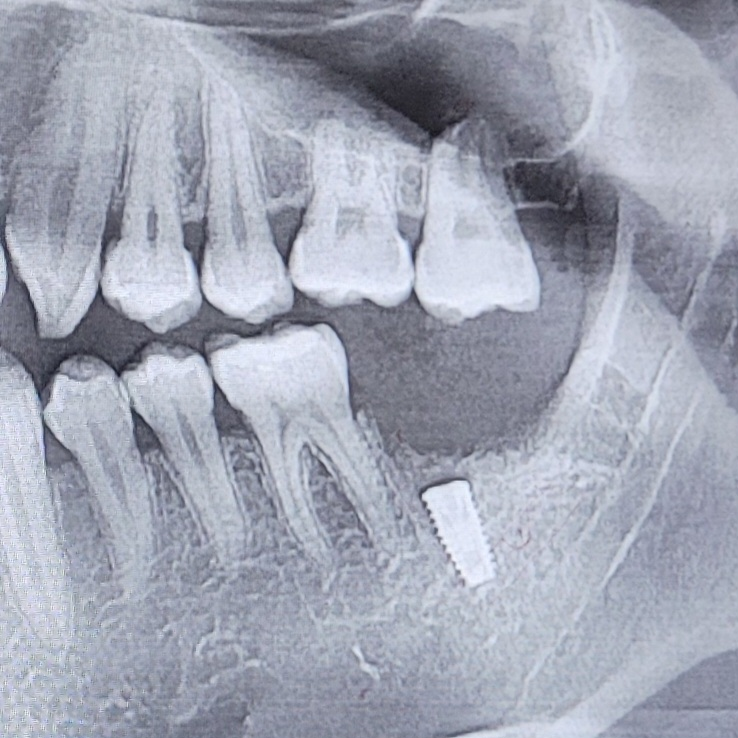
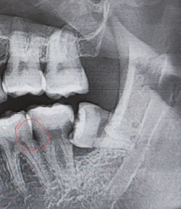
제가 3주전에 어금니를 발치하고 픽스쳐 식립했는데요 사진은 바로 옆 어금니뒷 면 입니다. 두 번째 사진은 발치 전 엑스레이 사진입니다. 마지막은 식립 이후 사진입니다.

실밥 제거 하고 1주일 정도 뒤부터 차가운 물을 마시면 꽤 시리더라구요


이빨 거울 하나 사서 보니까 잇몸 부근에 저런 구멍이 있던데 저거 때문에 시린걸까요?


아니면 엑스레이 빨간 동그라미처럼 원래 있던 구멍인거고, 발치 후 회복기간동안 옆 이빨이시릴 수 있는걸까요? 발치 전까진 한번도 시린적이 없었어요






  • 1번 째 사진
  • 2번 째 사진
  • 3번 째 사진

2개의 답변이 있어요!

  • 김철진 치과의사

    김철진 치과의사

    가까운우리치과

    안녕하세요. 김철진 치과의사입니다.

    뒤에 잇던 치아가 없어져서 그럴수도 잇습니다. 양치를 하실때도 자극이 가면 시린증상이 나타날수도 잇습니다. 시간이 지나면 괜찮아 지실꺼니 너무 걱정하지 마세요.

  • 탈퇴한 사용자

    탈퇴한 사용자

    안녕하세요. 김주혁 치과의사입니다.


    치아 발치시에 옆에 있던 치아의 충치 부위가 노출 되면서 시리거나 통증이 발생할 수 있습니다


    x-ray 상에서는 심한 충치로 보이지는 않으나 시린 증상이 계속해서 나타난다면 치료 받으시는 것이 좋습니다


    정확한 것은 내원하시는 치과에서 검사 해보는 것이 좋습니다