아하
  • 토픽

  • 스파링

  • 잉크

  • 미션


의료상담

편안한돼지276

편안한돼지276

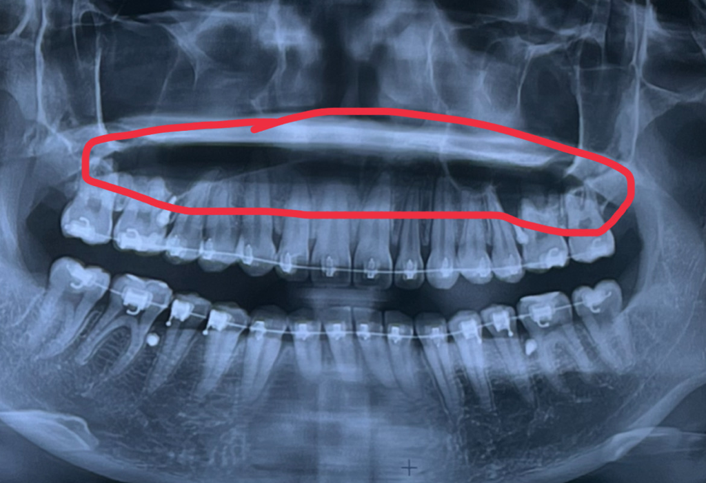
엑스레이상 보이는 이 부분은 뭔가요?? 이 부분이 예전보다 좀 길어진것같은데 뭘까요...


엑스레이를 찍으면 보이는 이 부분에 대해서 질문을 하고자합니다... 엑스레이를 찍으면 빈공간은 까맣게 보인다고 들었는데요, 제가 교정전에 찍은 사진과 타 치과에서 찍은 엑스레이를 비교해봤을때 저 부분이 좀 더 길어진것을 발견했는데 저 부분은 뭔가요? 그리고 저 부분이

길어질 수 있나요?

  • 1번 째 사진

4개의 답변이 있어요!

  • 최석민 치과의사

    최석민 치과의사

    강원도 원주의료원

    안녕하세요. 치아를 사랑하고 아끼는 치과의사 최석민입니다.

    파노라마상 보이는 정상구조입니다. panorama soft tissue normal landmark 라고 구글에서 검색해보시면 다양한 관련 사진을 보실 수 있습니다. 위의 빈 공간은 혀, 연구개, 경구개(물렁 입천장, 단단입천장)이 왜곡되어 길게 보이는 것입니다.

    해당 검은 빈 공간이 좀 더 길어진 것은 1. 비율상 그렇게 보일 수 있고 2. 교정 후 치아의 뿌리(치근)가 흡수되면서 상대적으로 그렇게 보일 수 있습니다.

    엑스레이를 찍었을 때 실제로 비어서 까맣게 보이는 부위는 그 윗부분 코 옆의 양쪽으로 대칭적으로 있는 상악동이라는 공간입니다. 이건 위턱의 공기주머니라고 보시면 됩니다. 아마 이 부위를 빈 공간은 검게 나온다로 설명 들으신 것 같습니다.

  • 안녕하세요. 김지훈 치과의사입니다.

    사진을 찍을때 고개를 숙이거나 허리를 필정도 등에 따라 달라질 수 있으며 잇몸뼈와 상악동 및 광대쪽 입니다.

    신경쓰실 필요는 없습니다.

  • 안녕하세요. 김철진 치과의사입니다.

    사진상 찍을때 환자분이 움직여서 그렇게 나올수 있습니다. 크게 문제가 잇는건 아니니 너무 걱정하지 않으셔도 될것같습니다.

  • 안녕하세요. 안상우 치과의사입니다.

    해당부위는 상악의 구개부, 입천장입니다

    사진을 찍는 높이에 따라서 나타나는 위치에 차이가 있어요