의료상담
55글자 더 채워주세요.
2개의 답변이 있어요!
안녕하세요. 김철진 치과의사입니다.
크라운은 본을떠서 제작하는거기 때문에 엑스레이는 크게 도움이 되지 않습니다. 크라운이 크다면 치아사이가 빡빡하게 느껴질꺼고 볼쪽이 거슬린다면 다시 제작해달라고 해보세요.
안녕하세요. 치아를 사랑하고 아끼는 치과의사 최석민입니다.
크라운에서 중요한 건 위, 아래 맞물릴 때 높지 않은지 그리고 옆 치아와 긴밀하게 접촉면적이 되어 있는지 입니다
1. 위, 아래 맞물릴 때 높지 않은지는 여러번 딱딱딱해보면 바로 알 수 있습니다
2. 옆 치아와의 컨택 정밀성은 치실을 해봤을 때 다른 자연치아 사이 들어가는 것처럼 약간의 저항감을 가지고 들어간다면 괜찮은 정도이고 평소 음식물이 많이 끼지 않았다면 괜찮은 것입니다
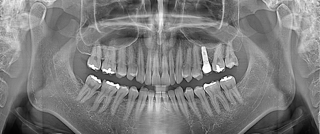
그 외 크기는 특별히 아주 크거나 그렇지는 않아보입니다만 방사선 사진말고 일반 입 안 사진도 있으면 좀 더 도움되는 답변 드릴 수 있을 것 같습니다
3. 상황을 알 수 있도록 가능하다면 이전 치과에서 촬영한 치과방사선사진을 다 받아서 새로운 치과에 보여주셔도 좋습니다

