아핫뉴스실시간 인기검색어
아핫뉴스 화산 이미지
화산 아이콘 11
비트코인 시장 반등 기대
아하

의료상담

치과

윰듕둠
윰듕둠

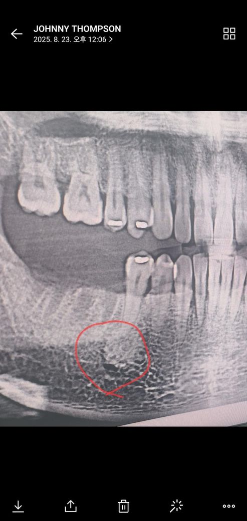
치과에서 엑스레이 사진을 찍었는데 턱뼈에 동그란게 찍혔어요

치아 상태 확인 차원에 처음 x-ray를 찍고 발치 후 한달 지나 임플란트 진행을 하기 위해 뼈 상태 알아보기 위한 x-ray를 다시 촬영했는데 처음엔 몰랐는데 이전 x-ray 사진에도 동그랗게 뭔가 있는게 나왔어요 의사쌤도 별거 아닌거 같지만 혹시 모르니 대학병원 가서 검사를 해보는게 좋다고 하셔서 문의 드려봅니다.

  • 1번 째 사진
4개의 답변이 있어요!
  • 안녕하세요. 김지훈 치과의사입니다.

    사진상에서 하얗게 보이는 것은 단순 골 치밀화로 보이지만 혹시 모르니 가보셔도 될 것 같습니다.

    1명 평가
  • 안녕하세요. 김철진 치과의사입니다.

    사진에 보이는건 크게 문제가되는건 아니지만 제 생각에는 이공이라는 턱아래 신경이 나오는 구멍이 보이는거 같습니다.

    1명 평가
  • 안녕하세요. 안상우 치과의사입니다.

    사진으로만 봤을 경우에는 치조골이 국소적으로 치밀화 되어 있는것으로 보입니다.

    대부분 문제를 발생시키지는 않기 때문에 너무 걱정하지 않으셔도 되지만 해당부위가 불편하거나 걱정이 된다면 대학병원치과에서 진료를 받아 보는것이 좋습니다.

    1명 평가
  • 안녕하세요. 최석민 치과의사입니다.

    1. 검은 둥그런 점은 이공(신경이 지나가는 길) 같습니다

    2. 그 외 흰색 부분부분 진한건 정상 골반응 같습니다

    1명 평가