아핫뉴스실시간 인기검색어
아핫뉴스 화산 이미지
아하

의료상담

치과

남다른파리233
남다른파리233

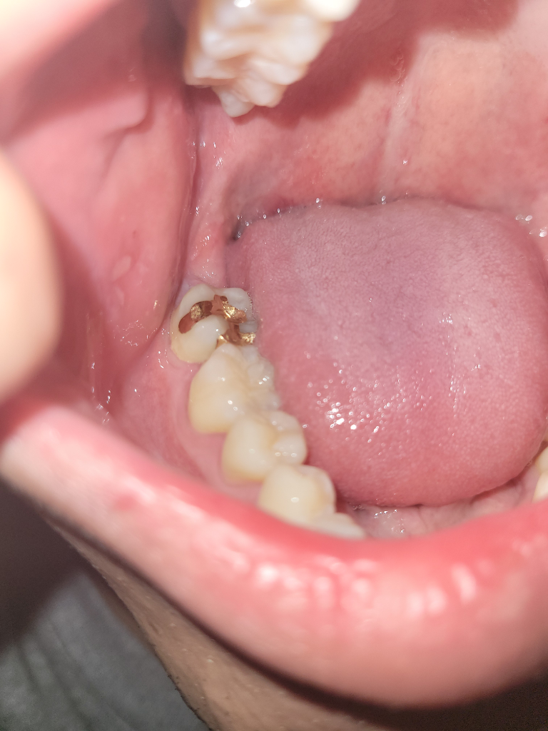
구강암인가요? 아니라면 무엇인가요?

입안에 이물감이 들어서 봤더니 조금 튀어나와있네요.

혹시 구강암 인가요? 아니라면 무엇인가요?

아래 구내염 같은 것은 딱딱한 튀김먹다가 찢어진 것입니다.





  • 1번 째 사진
  • 2번 째 사진
55글자 더 채워주세요.
2개의 답변이 있어요!
  • 안녕하세요. 안상우 치과의사입니다.

    사진으로 봤을 경우에는 구강내의 연조직이 자라나온것으로 보입니다.

    치아에 가해지는 힘이 크게 되면 볼근육이 볼을 안쪽으로 밀면서 해당부위에 연조직이 튀어 나올수 있어요.

    정확한 확인을 위하여 치과에서 자세한 진료를 받아보시길 권장 드립니다.

  • 안녕하세요. 김철진 치과의사입니다.

    구강암은 아니신거 같고 아마 음식을 드시다가 볼살이 치아에 씹혀서 난 상처 같습니다. 걱정하지 않으셔도 될것같습니다.