아하
  • 토픽

  • 스파링

  • 잉크

  • 미션


의료상담

가끔잔잔한당나귀

가끔잔잔한당나귀

뼈이식 이후 멤브레인이 떨어졌는데 괜찮나요?

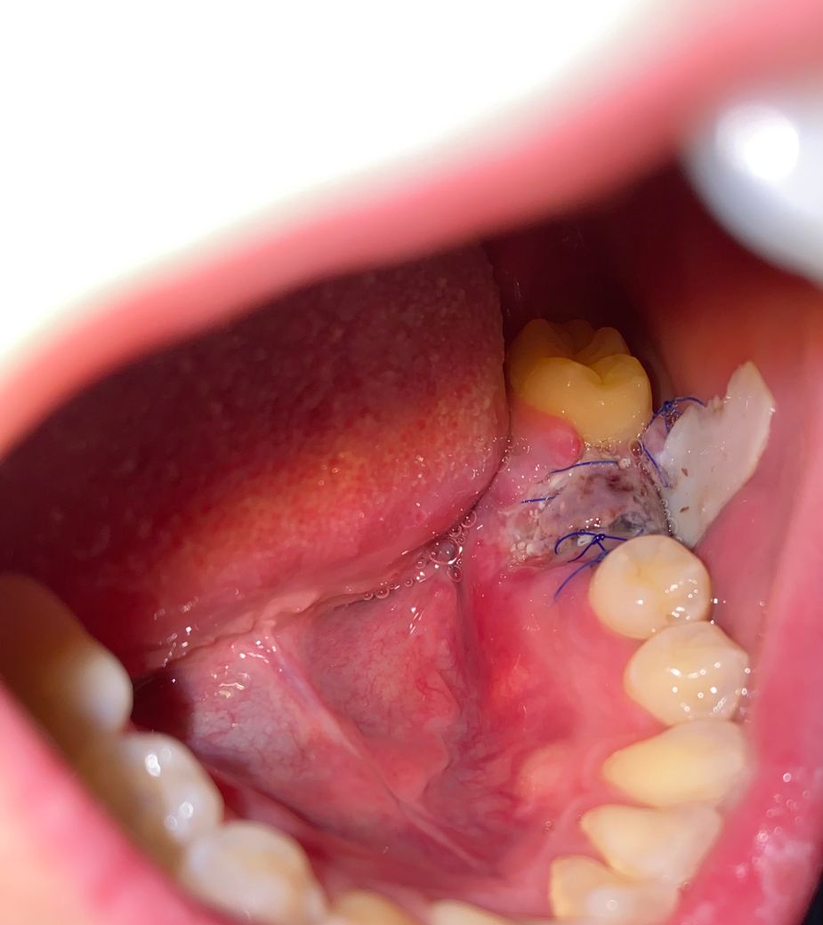
임플란트를 위한 발치 및 뼈이식 이후 9일째입니다. 이전에 실밥이 하나둘 풀리더니 멤브레인이라 부르는 막이 물을 마실때나 음식을 먹을때 사진과 같이 뒤집어집니다. 한쪽은 아예 떨어졌고 반대편도 간당간당합니다. 내부 사진을 첨부합니다. 혹시 이 막이 떨어진것과 현재 내부 상태가 괜찮은건지 소견을 듣고싶습니다.

  • 1번 째 사진

5개의 답변이 있어요!

  • 김지훈 치과의사

    김지훈 치과의사

    메가

    안녕하세요. 김지훈 치과의사입니다.

    지금 상태에서도 문제가 생기지는 않지만 치과에서 제 위치로 이동하여 고정하는 것이 좋겠습니다.

  • 안녕하세요. 정진석 치과의사입니다.

    현재로서는 상태는 나빠보이지 않지만 해당 부분의 일부가 떨어지거나 문제가 생겼다면 해당 치과를 방문하여 적절한 대처를 받는 것이 좋아 보입니다. 빠른 시일 내에 치과를 방문하여 검사를 하고 적절한 치료를 이어하시길 바랍니다.

    아무쪼록 저의 답변이 문제 해결에 작게 나마 도움이 될 수 있기를 기원드립니다. 항상 건강하고, 행복하세요^^

  • 안녕하세요. 최석민 치과의사입니다.

    멤브라인 막이 구강 내 노출되는 경우는 있으나 저렇게 달랑달랑하게 되진 않습니다. 현재 사진상 보면 잇몸 치유를 위해 붙여둔 구강 내 반창고 같은 것일 확률이 높고 그건 떨어져도 어쩔 수 없습니다.

  • 안녕하세요. 송우식 치과의사입니다.

    인조막 멤브레인은 떨어졌지만 멤브레인 아래쪽은 정상적으로 육아조직으로 덮혀 정상적으로 아물고 있는 것으로 보입니다. 빨리 치과에 도로 가서 멤브레인은 제거하는 것이 좋습니다.

  • 안녕하세요. 김철진 치과의사입니다.

    멤브레인이 떨어지면 뼈이식한게 흩어질수도 잇으니 치과에 가셔서 후처치를 다시 받으시는게 좋을것같습니다 .