아핫뉴스실시간 인기검색어
아핫뉴스 화산 이미지
아하

의료상담

치과

정말우유부단한라쿤
정말우유부단한라쿤

이런 사랑니 동네 치과 말고 전문병원에 가야하나요? + 아래 두개 한 번에 뽑는 건 비추인가요?

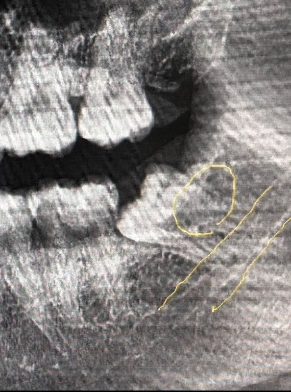
  1. 사진 첨부한 사랑니 잇몸 안 뚫은 상태고 신경쪽이라고 합니다. 이거 전문 병원에 가는 게 나을까요?

  2. 아래쪽에 사랑니가 두개 있는데 하나는 위에서 말한 상태고 반대쪽 건 신경과 안 닿아있고 잇몸 밖으로 3/4 정도 드러나 있습니다. 다른 어금니들처럼 곧게 자라있어요. 이 두개 한 번에 뽑아버리면 많이 힘들까요?? 밥을 며칠동안 제대로 못 먹을까요ㅠ 4일까진 버틸만할 것 같은데

  • 1번 째 사진
55글자 더 채워주세요.
5개의 답변이 있어요!
  • 안녕하세요. 송우식 치과의사입니다.

    현재 매복사랑니가 기울어 있는 경우 신경을 건드릴수 있어 까다로운 발치이기에 구강외과 전문의가이 있는 치과 병원이나 대학 병원에 방문하여 치료를 받는 것이 안전합나더,

    이 두개 한 번에 뽑아도 되나, 부담이 되는 경우에는 하나 를 뽑고 아문후에 나머지 하나를 발치하는 것이 몸에 무리가 덜가게 됩니다.

    1명 평가
  • 안녕하세요. 최석민 치과의사입니다.

    1. 사진 첨부한 사랑니 잇몸 안 뚫은 상태고 신경쪽이라고 합니다. 이거 전문 병원에 가는 게 나을까요? -> 네

    2. 양쪽을 같이 빼버리면 3~4일 정도는 정상 식사가 어려울 수도 있습니다. 통증도 있고 붓기 때문입니다.

    1명 평가
  • 안녕하세요. 안상우 치과의사입니다.

    사랑 내 뿌리가 신경관과 가깝게 위치된 것으로 보입니다. 있기 때문에 큰 병원에서 발치를 하는 것이 권유되긴 합니다. .

    사랑니를 발치하고 나면 발치한 부위가 아무는데 이 주 정도가 걸립니다. 초반 일주일 정도는 해당 부위가 불편할 수 있기 때문에 음식을 편하게 먹지 못할 수 있습니다.

  • 안녕하세요. 김지훈 치과의사입니다.

    사진 첨부한 사랑니 잇몸 안 뚫은 상태고 신경쪽이라고 합니다. 이거 전문 병원에 가는 게 나을까요?

    -> 전문 치과 가는 게 좋아보입니다.

    2~3일 정도만 조심하면 됩니다.

  • 안녕하세요. 김철진 치과의사입니다.

    정확한건 CT를 찍어봐야 알겟지만 신경과 치아가 겹쳐 잇다면 사랑니 전문 병원에서 발치를 하시는게 좋을것같습니다.

PC용 아하 앱 설치 권유 팝업 이미지장도연이 추천하는 아하! 앱으로 편리하게 사용해 보세요.
starbucks
앱 설치하고 미션 완료하면 커피 기프티콘을 드려요!