아핫뉴스실시간 인기검색어
아핫뉴스 화산 이미지
아하

의료상담

치과

근사한천산갑271
근사한천산갑271

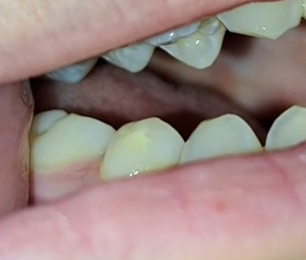
치아 탈회 같은데 이게 뭔지 알수있을까요 ㅠㅠ


갑자기 생겨서 걱정되네요 ㅠㅠ

왜 이런걸까요 교정기는 한 적도 없고 치석이라기엔

떨어지지 않고 혀로 만지면 오돌토돌하고

치과 가기엔 비용이 많이들고 어쩌죠,,

  • 1번 째 사진
2개의 답변이 있어요!
  • 안녕하세요. 김철진 치과의사입니다.

    증상이 심하지 않으면 레진으로 하시면됩니다. 레진 비용은 치과마다 약간 차이가 잇겟지만 대략 7-10만원정도 나오실꺼에요. 하지만 범위가 넓거나 탈회 정도가 심하시다면 크라운 치료를 하셔야됩니다.

  • 안녕하세요. 김지훈 치과의사입니다.

    치아 탈회 같으며 정확한 진단을 위해서는 치과에 가보시는게 좋습니다. 크게 비싸지 않을 겁니다.