아핫뉴스실시간 인기검색어
아핫뉴스 화산 이미지
아하

의료상담

치과

의로운칠면조88
의로운칠면조88

사랑니 발치한지 8개월이 지났는데 이따금씩 잇몸쪽이 아픕니다

매복사랑니 발치 8개월이 지났습니다

이따금씩 발치한 사랑니 뒷쪽이 붓는 느낌이고 염증이 있는 느낌인데... 가만히 있을때도 아프며 만지면 살짝 부어있습니다

치과에 다녀오니 치주염이라고 하며 대학병원에서 잇몸을 절개하거나 하는 수술을 해야할수도 있다고 하네요 => 이 수술명은 무엇인가요? 또한 수술을 해도 또 재발할 수 있다고 하는데 ㅠㅠ 평생 이렇게 지내야 하는지,,, 잇몸 붓는 걸 방지하려고 매복사랑니를 발치한 것인데 이런 상황이면 발치를 괜히 한 것 같아서 속상하네요

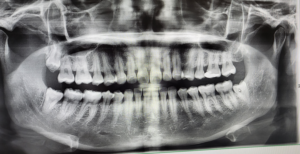
예방법이나 다른 방법이 없는지요... 사진은 사랑니 발치 전 사진입니다 (오른쪽 아래 사랑니 발치하였습니다)

  • 1번 째 사진
4개의 답변이 있어요!
  • 안녕하세요. 김지훈 치과의사입니다.

    치주염은 발치로 인해서 생기지는 않으며 치석이나 음식물이 방치되는 경우 생깁니다.

    치근활택술 , 소파술 등의 치료가 필요합니다.

  • 안녕하세요. 송우식 치과의사입니다.

    사진상에서 이미 사랑니 발치전에 사랑니 바로옆 어금니 뒷쪽의 충치가 있는 상태입니다. 그리고 어금니의 잇몸뼈도 이미 내려가 있는 상태입니다. 이와같이 사랑니가 매복되면 사랑니 바로옆 어금에 손상이 올 수 밖에 없습니다. 그래서 사랑니를 가능한 빨리 빼라고 하는 것입니다. 치주염이라고 질문하신 것은 어금니 치주염을 이야기 하는 것으로 보이며 치은절제술 또는 치은박리술 등등을 할 수 있습니다. 어느 것을 하더라도 예후는 좋지 않을 수 있습니다.

  • 안녕하세요. 김철진 치과의사입니다.

    파노라마 사진상으로 보면 사랑니 발치시 크게 어려움이 잇거나 하진 않을껏같은데요. 사랑니 발치를 하고 그쪽에 치주염이 발생하는경우는 흔치 않습니다. 혹시 다른곳에 문제가 잇을수도 잇으니 대학병원 치주과를 가셔서 검진을 받아보시는게 좋을것같습니다. 염증이 잇다면 염증을 제거하고 소독을 해줘야됩니다.

  • 탈퇴한 사용자
    탈퇴한 사용자

    안녕하세요. 김주혁 치과의사입니다.


    치주염 치료는 잇몸을 절개하여 염증을 제거하는 것으로


    치료 후 해당 부위를 청결하게 관리하고 일년에 한번씩 스케일링 치료와 구강 검진을 받으시면 재발을 방지할 수 있습니다