의료상담
사랑니로 인한 잇몸염증이 발생하여 질문 드립니다
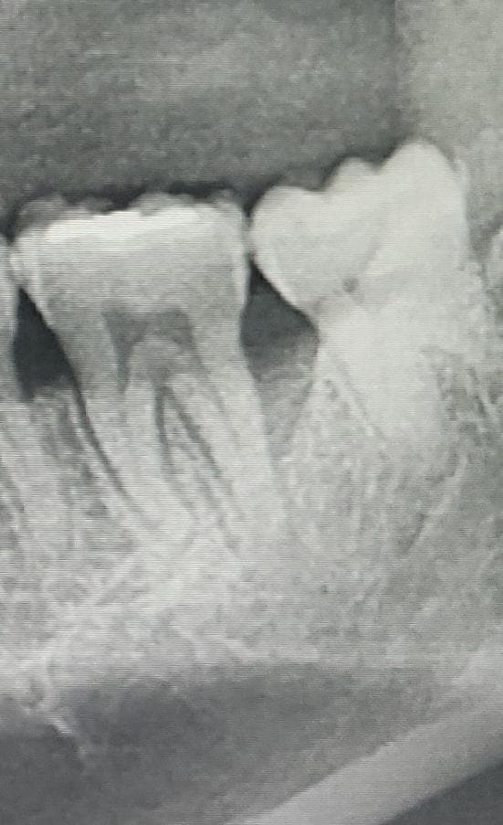
명절 중 사랑니와 맞닿은 어금니 부위 잇몸에 물집이 크게 잡혀 진료를 받아보니, 염증이 가라앉은 후 사랑니 발치하고 이 후에 맞닿은 어금니의 치료를 진행하여야 한다고 하셨습니다. 제가 오랫동안 사랑니를 방치한 상태로 유지하여 사랑니와 어금니 사이의 치조골이 많이 손상된 상태라고 하셨는데 이 후 어떤 치료를 받게 될까요? 발치까지 이어질 가능성이 있나요? ㅠㅠ
55글자 더 채워주세요.
3개의 답변이 있어요!
안녕하세요. 김철진 치과의사입니다.
사진상으로 보면 뒤에서 두번째 치아 잇몸이 많이 안좋습니다. 최대한 사용하실때까지 사용하다가 발치를 하셔야될수도 있습니다.
안녕하세요. 최석민 치과의사입니다.
어금니 원심측 잇몸뼈가 염증으로 녹아있는 상태이고 잇몸치료는 받아봐야 합니다 현재로선 증상없으면 발치는 안해도 됩니다 치아 원인이 아닙니다
안녕하세요. 안상우 치과의사입니다.
사랑니로 인해서 인접치아에 문제를 발생시키고 있다면 인접치아를 사랑니를 발치하는것이 좋습니다.
해당부위에 이물질이 남아 있게 되어 치조골이 내려간것일수 있기 때문입니다.

