아하
  • 토픽

  • 스파링

  • 잉크

  • 미션


의료상담

완전인사이트있는고등어

완전인사이트있는고등어

25.05.26

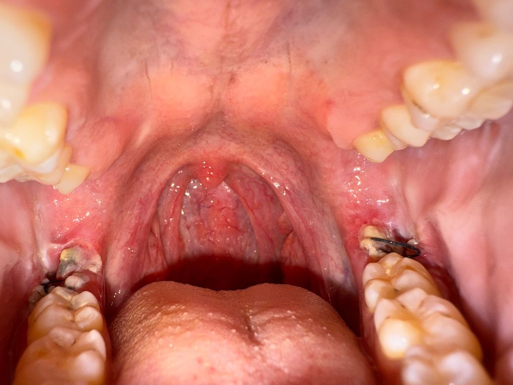
하악 매복사랑니 발치 6일차 입니다 불편함도 통증도 없습니다.

현재 상태로는 어느정도 회복된걸로 보면 될까요? 중요한 미팅(술자리)가 있어 음주,흡연을 피치 못할거 같아서요

통증도 불편함도 아직 없고

주신 약 및 가글 지금껏 잘 지켜왔습니다

  • 1번 째 사진

2개의 답변이 있어요!

  • 김철진 치과의사

    김철진 치과의사

    가까운우리치과

    25.05.26

    안녕하세요. 김철진 치과의사입니다.

    발치한지 6일정도 지나셧고 통증도 없다면 크게 걱정은 안하셔도 될것같습니다. 실밥을 푸시고 나서만 관리를 잘하시면될것같습니다.

  • 안녕하세요. 최석민 치과의사입니다.

    아직 온전히 회복되지 않았고, 잇몸 염증도 다소 있습니다 가급적 금주, 금연은 발치 후 2주까지 지켜주시면 좋습니다

    실밥에 낀 음식물은 빼주시면 치유에 도움 됩니다