아핫뉴스실시간 인기검색어
아핫뉴스 화산 이미지
화산 아이콘 11
KCM 아내 공개 13년 만에
아하

의료상담

치아 관리

레알자부심이많은노새
레알자부심이많은노새

레진 치료 받은 이 곳 그대로 써도 될까요?

3주전에 13-14 인접면 레진 치료를 했습니다



그런데 다른 치아 문제로 다른 치과를 방문했는데

이 레진 부분이

기포부터 시작해서 퀄리티가 좀 떨어진다고
해당 치과에 재방문을 추천하시더라구요.

나중에 불편하면 인레이로

다시 하라는 말씀도 있으셨구요

충치가 보이는것 같기도 한거 같은데

라는 말씀도 하셨구요.

1.레진 치료를 하시면서 충치를 다 안 갈고
레진을 하거나 하진 않으시겠죠?

2.레진 치료를 한 치과가 좀 불친절합니다.

"다시 또 오실거 같으니 불편한거 있으면 지금 말하라"

치료 받은곳 윗부분에 접착제가 남았는지

까끌까끌하고 인접면 부분도 문제가 있어서

이 것을 말하니

"저는 이쪽은 손도 안 댓는데 제가 이 곳까지 다 해드려야합니까?"

라고 하시면서 화를 내셔서 당일에 못 해결하고

일주일 뒤 도저히 못 참아서 재방문으로

이 문제도 해결했습니다.

다만 치실을 이 부분에 넣으면 실이 좀 찢어지기도 해서 이 부분도 말씀드렸지만 그 치과 간호사분도

치실이 잘만 들어가지 않냐고 하셔서

제가 너무 과민한것 같기도 하고

그러다 보니 그 곳에 재방문 하기가 너무 거북합니다.

이 레진을 그냥 이대로 써도 괜찮을가요?

별 문제 없으면 이제 치아 걱정 좀 내려놨으면

좋겠다는 생각에 질문합니다

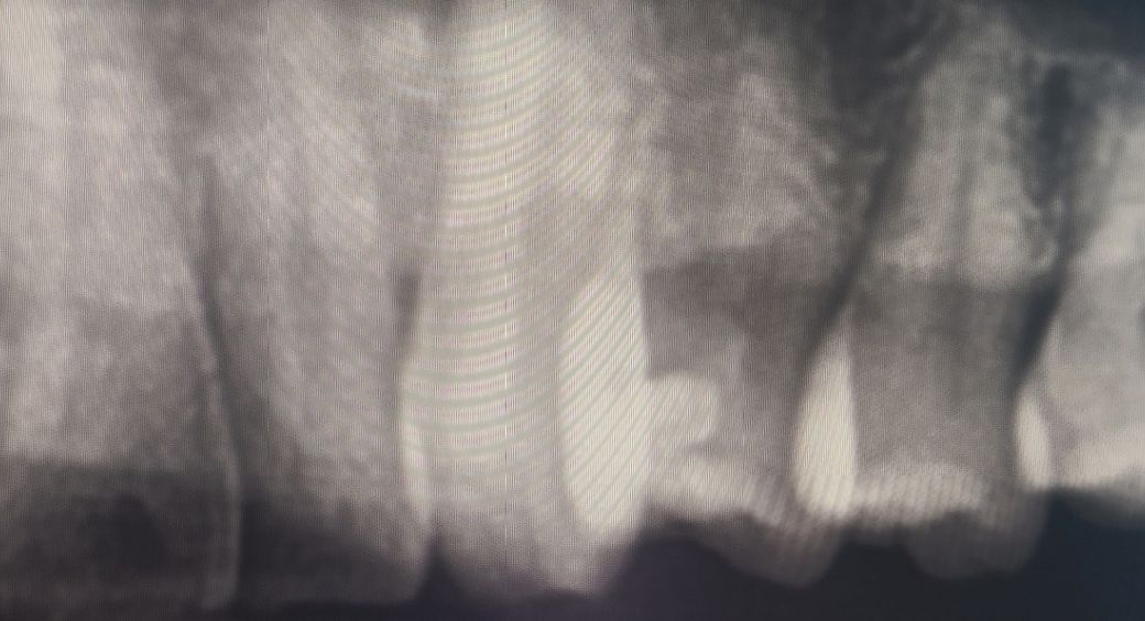
  • 1번 째 사진
  • 2번 째 사진
  • 3번 째 사진
4개의 답변이 있어요!
  • 다른 선생님께서 애써 하신 것에 안좋은 얘기를 하기가 좀 조심스럽습니다만, 솔직하게 말씀드리겠습니다. 혹시나 질문자분께서 전달을 하게 됐을 때 오해가 없길 바랍니다. 치료당시 어떤 상황이었는지는 모르겠지만 레진을 메꿀 때부터 모양을 잡은 후에 굳혔어야 했는데 이미 저렇게 굳혀버려서 여기서 더 다듬을 수도 없네요. 아예 새로 하시는게 나을 것 같습니다. 잇몸쪽 밑동부분부터 치아면과 이어지게끔 부드럽게 했어야 했는데 아예 네모모양으로 돼버렸네요. 물론 전문가인 치위생사선생님이 치실질을 하실 땐 잘 들어갈 수 있지만, 스스로 하려면 직접 눈으로 보이지도 않는 곳인데 치실질을 잘 할 수 있게끔 만들어주셨다면 좋았을텐데 왜 저렇게 하셨는지 잘 모르겠네요. 당연히 치실이 찢어질 수 있는 상태입니다. 저렇게 메꾸면 음식물을 잘 뺄 수 없고 그로 인해 잇몸도 부을 수 있고 떼운 하방으로 충치도 생기기 쉽습니다. 아마 치과에서도 당시 상황에서 최선을 다하셨을거고 저렇게 하신 것도 나름 이유가 있을 수 있다고 생각합니다. 치료받으셨던 치과와 원만히 해결이 되길 바랍니다...

  • 일반적으로 운전면허 충치가 생겨서 치료를 하게 되면 레진으로 하기보다 인레이나 크라운 치료를 하는 것이 좋습니다.

    레진으로 직접 치아 인접면을 만드는 것이 어렵기 때문입니다 치과는 자신에게 잘 맞는 치과에서 진료를 받는 것이 좋습니다.

  • 사진으로 정확한 판단을 위해서는 해상도가 조금 더 필요합니다. 다만 x-ray 등을 판단했을 때 특별히 문제가 되거나 충치가 덜 제거된 것은 아닌 것으로 보여집니다. 지금보다 퀄리티를 더 높이기 위해서는 심미수복을 해야 할 것으로 보이나 환자 분의 니즈를 모두 충족시키기 위해서는 심미수복 전문 치과를 방문하는 것이 좋을 것으로 보입니다.

    아무쪼록 저의 답변이 문제 해결에 작게 나마 도움이 될 수 있기를 기원드립니다. 항상 건강하고, 행복하세요^^

    정진석 치과의사 드림

    1. 인접면 컨택이 아주 빡빡하게 되었다면 치실이 잘 안들어갈 수도 있습니다. 얇은 형태의 치실을 사용하시거나, 사이즈 제일 작은 치간칫솔을 사용해보시기 바랍니다.

    2. 설명 들으신 것처럼 불편증상이 생기면 다시 인레이로 바꿔줘도 좋을 것 같습니다. 옆면 충치 레진치료는 어느정도 한계가 있습니다.