아하
  • 토픽

  • 스파링

  • 잉크

  • 미션


의료상담

aaaaaaaaaaa

aaaaaaaaaaa

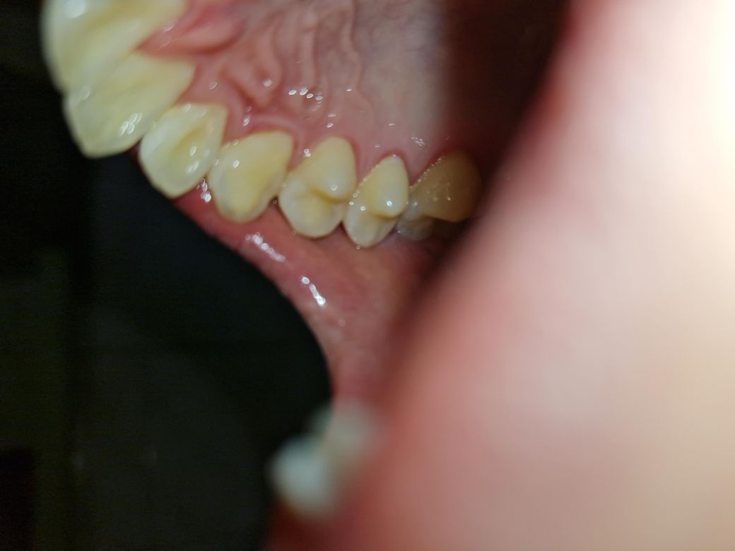
잇몸 쭈글쭈글한데가 빨갛고 아파요ㅠㅠ

윗쪽 뒷부분 잇몸이 따끔따끔하고 아파요.

사진 찍어보니까 빨간 부분 있던데 어떻게 해야 나을 수 있을까요 ㅠㅠㅠ........

  • 1번 째 사진

3개의 답변이 있어요!

  • 김철진 치과의사

    김철진 치과의사

    가까운우리치과

    안녕하세요. 김철진 치과의사입니다.

    잇몸이 전체적으로 염증이 잇는거 같은데 치과에 가셔서 스켈링 및 잇몸치료를 받아보시는게 좋을것같습니다.

  • 안녕하세요. 송우식 치과의사입니다.

    현재 잇몸에 염증이 있는 것으로 보입니다. 이 경우 치석이 쌓여 잇몸을 자극하여 염증을 유발하였을 가능성이 있기에 빠른시일내에 치과에 방문하여 스케일링이 및 적절한 치료를 받길 권합니다.

    만족스러운 답변되셨으면 합니다.

    <평가> 감사합니다.

  • 안녕하세요. 최석민 치과의사입니다.

    입천장 쭈글쭈글한건 정상해부학적 구조입니다 palatal rugae이고 붉은건 위생상태불량으로 인한 염증으로 보입니다