홈
토픽
스파링
잉크
미션
전문가 신청
베리몰
나도 질문하기
의료상담
탈퇴한 사용자
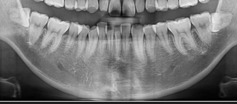
사랑니 발치하려는데 발치 난이도, 통증정도(지속시간)
, 발치시간, 비용 등 대략적으로 궁금해서 알려주시면 감사하겠습니다.
사진 보기
4개의 답변이 있어요!
김지훈 치과의사
메가
∙
안녕하세요. 김지훈 치과의사입니다.
사랑니 발치를 하는데에는 대략 30분 정도가 걸리며 보험이 되기 때문에 비용은 많이 안듭니다.
평가
응원하기
송우식 치과의사
솔플란트치과 경기도 성남시 모란역
안녕하세요. 송우식 치과의사입니다.
옆으로 누어있는 수평매복 사랑니 입니다. 이런 사랑니는 치아를 절단하여 뽑게 되니 간단한 수술에 해당합니다. 발치후 통증이 3-4일 정도 지속됩니다. 수술에 걸리는 시간은 1시간 정도? 비용은 의료보험 적용됩니다.
김철진 치과의사
가까운우리치과
안녕하세요. 김철진 치과의사입니다.
매복사랑니라 잇몸도 절개를 하고 치아도 절개를 해야될것같습니다. 비용은 의료보험이 적용되기 때문에 크게 부담은 되지 않지만 지혈제는 비보험이라 치과마다 다를수 있습니다. 시간은 30분정도 생각하셔야될것같습니다.
최석민 치과의사
강원도 원주의료원
안녕하세요. 최석민 치과의사입니다.
발치난이도: 중상정도입니다
통증은 미약하게라도 1주일 지속되기도 합니다
시간은 30분 ~ 1시간 내외입니다
비용은 지혈제 포함해서 7~8만원 내외입니다