아하
  • 토픽

  • 스파링

  • 잉크

  • 미션


의료상담

공정한조롱이298

공정한조롱이298

엑스레이 폐렴 문의.염증이 남았는지

성별

여성

나이대

60

기저질환

고혈압 천식

복용중인 약

혈압약

엑스레이상 염증이 아직 남아있는지

궁금하여 문의드립니다.

많이남아있나요?________

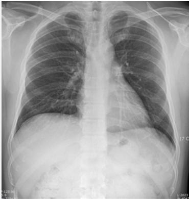
아래사진 첨부드립니다. 감사합니다

  • 1번 째 사진

1개의 답변이 있어요!

  • 김수비 의사

    김수비 의사

    QUB

    안녕하세요. 김수비 의사입니다.

    네 아직 남아있습니다. 정상 엑스레이는 아래와 같아요.

    즉 보여주신 엑스레이에서 흰색 부분이 많이 보이는게 보이실 텐데 그게 폐렴을 나타내주는 겁니다.

    다만 엑스레이 상태와 임상 중증도가 항상 일치하지는 않기 때문에 다른 수치들 (혈액검사 등)과 함께 증상도 고려해서 폐렴의 호전도를 결정하게 되는거에요

    그래서 이런 모든 것들을 총체적으로 판단 할 수 있는 담당 의사와 상의 하시는게 제일 정확한거라 말씀드리는 거구요