아핫뉴스실시간 인기검색어
아핫뉴스 화산 이미지
화산 아이콘 11
제주항공 참사 유족
아하

의료상담

치과

완벽히향기로운파인애플
완벽히향기로운파인애플

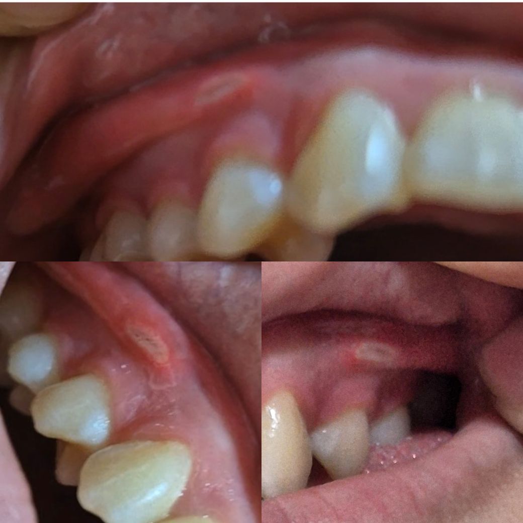
잇몸에 난 게 뭘까요 ?? 치료 방법이랑 왜 생겼는 지도 궁금해요

잇몸에 뭐가 난 건지, 치료 방법은 무엇인지, 생긴 이유가 무엇인지 궁금합니다 ㅠㅠ 혹시 아시는 분 계실까요?? 찾아봐도 안보여서 여쭤봅니다

  • 1번 째 사진
  • 2번 째 사진
  • 3번 째 사진
4개의 답변이 있어요!
  • 사진으로 봤을 경우에는 구내염으로 보입니다 구내염은 몸이 피곤하거나 해서 면역력이 떨어졌을 때 점막 조직의 상처가 생기게 되면 감염이 되면서 생기게 됩니다 결과적으로 충분한 휴식을 취해 주시는 것이 좋습니다 불편감이 크다면 오라메디라고 하는 점막 연고를 사용해서 증상을 줄일 수 있습니다

    1명 평가
  • 현재 사진으로 보아서는 구내염일 가능성이 큽니다. 구강 내에 여러 부위에 나타나는 단순 구내염으로 시간이 지나면 저절로 회복되는 특성이 있습니다. 당분간은 자극적이거나 맵고 짠 음식 등의 섭취를 피하는 것이 좋습니다. 다만 2주가 지나도 이러한 부위가 회복되지 않는다면 치과 방문을 권해드립니다.

    아무쪼록 저의 답변이 문제 해결에 작게 나마 도움이 될 수 있기를 기원드립니다. 항상 건강하고, 행복하세요^^

    정진석 치과의사 드림

  • 구내염은 구강 내 점막에서 발생하는 염증 질환의 통칭입니다. 입술, 혀, 잇몸, 입천장, 입안볼 등 구강에 발생하는 매우 흔한 질환입니다.

  • 안녕하세요 치과의사 김철진입니다. 구내염인거 같습니다. 치과에 가셔서 검진을 받아보시고 약을 바르시는게 좋을것같습니다.