아핫뉴스실시간 인기검색어
아핫뉴스 화산 이미지
화산 아이콘 11
이재명 대통령 오찬
아하

의료상담

치과

조신한황로194
조신한황로194

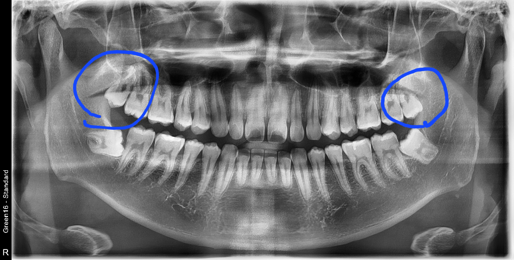
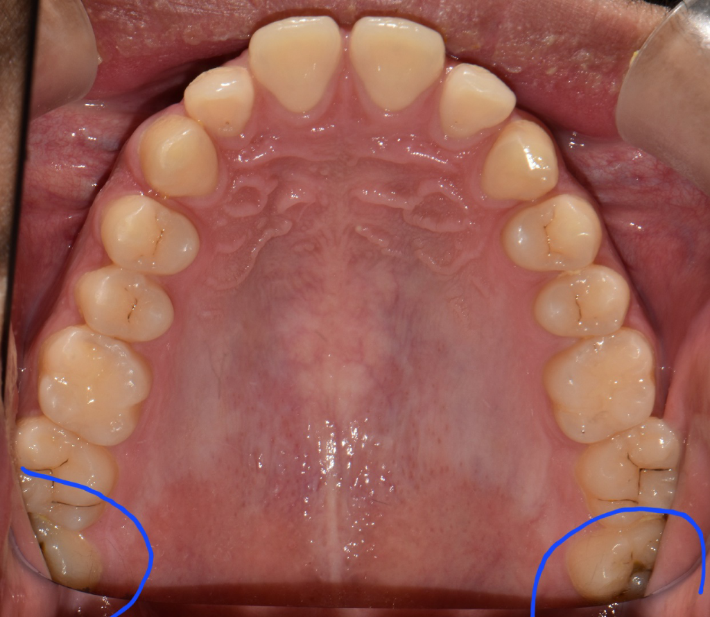
이거 사랑니 뽑는거 난이도가 높은편인가요?



파랗게 그린쪽의 사랑니는 꼭 뽑으라고 원장님이 말씀하셔서 한달내로 예약잡고 발치하려는데, 저 사랑니는 다른케이스보다 뽑기 어려운가요? 완전매복이아니라 절개량이 적어 괜찮다는데 그럼 발치중,발치후 통증도 비교적 다른 케이스보단 덜할까요?

  • 1번 째 사진
  • 2번 째 사진
4개의 답변이 있어요!
  • 안녕하세요. 김철진 치과의사입니다.

    상악의 경우 사랑니 발치가 크게 난이도가 높은편은 아닙니다. 저정도면 쉬운편에 속할것같습니다.

  • 안녕하세요. 정경호 치과의사입니다.

    사랑니 발치 난이도가 쉬운 편으로 보입니다. 위 사랑니이기도 하고, 대합도 되지 않아 고생을 많이 하지는 않으실 것으로 예상되나 항상 변수가 있을 수 있으니 너무 걱정하실 필요는 없으나 주치의 선생님 설명대로 잘 따라주세요.

  • 안녕하세요. 김지훈 치과의사입니다.

    두 사랑니 모두 어려워보이지는 않습니다. 발치 중, 후 통증이 모두 적은 편 일 것 같습니다.

  • 안녕하세요. 최석민 치과의사입니다.

    네 일반사랑니이며 굳이 절개가 필요하지 않을 것 같습니다 최소한 침습적으로 처치하므로 술후 통증도 덜할것입니다