아하
  • 토픽

  • 스파링

  • 잉크

  • 미션


의료상담

수려한바다사자140

수려한바다사자140

건강검진 엑스레이찍었는데 이런 비슷한 결절이 나왔어요 꼭 봐주세요

성별

남성

나이대

40

기저질환

고지혈증 통풍

복용중인 약

고지혈증 통풍

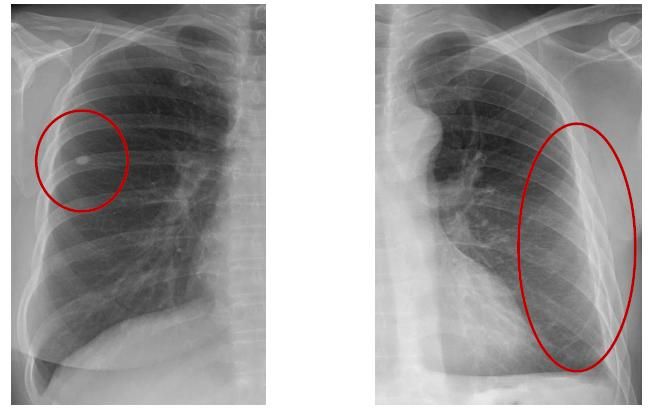
올해 만 40세로 국가 건강검진 받았는데 엑스레이를 찍었더니 사진과 비슷한형태의 결절이 있다고 폐시티 찍자해서 찍고 일주일뒤 결과보러가기로했는데요 너무 걱정되서요 사진은 제사진은 아니고 인터넷에 보니 저랑 비슷한사진은 저것뿐이라서요

모양도 비슷하고 크기도 비슷하고 투명하다기 보다

저렇게 밝은 형태를 뛰고 있습니다

지나치지말고 도와주시면 감사하겠습니다

왼쪽사진입니딘

  • 1번 째 사진

2개의 답변이 있어요!

  • 탈퇴한 사용자

    탈퇴한 사용자

    안녕하세요. 김병관 내과 전문의입니다.

    결절은 매우 흔하게 발견됩니다,, 결국은 암인지 아닌지가 중요한데, 보통 6mm ~ 8mm 정도 결절이라면 암일 확률이 1~2% 정도 된다고 합니다. 일단 CT 결과 확인해봐야겠지만,, 결절로 오는 분들 대부분은 크기가 작아서 경과관찰 하기는 합니다.

  • 안녕하세요. 채홍석 가정의학과 전문의입니다.

    업로드해주신 증상의 설명과 자료는 잘 보았습니다.

    환자분 본인의 사진이 아니기 때문에 뭐라 드릴 말씀이 없네요

    올려주신 식으로 이상한 병변이 있으면 반드시 CT로 확인을 하여야 합니다

    단지 모양 그러니까 margin이 이처럼 뚜렷하고 색도 균일하고 하는 경우에는 악성의 가능성이

    높지는 않습니다.