의료상담
55글자 더 채워주세요.
5개의 답변이 있어요!
안녕하세요. 안상우 치과의사입니다.
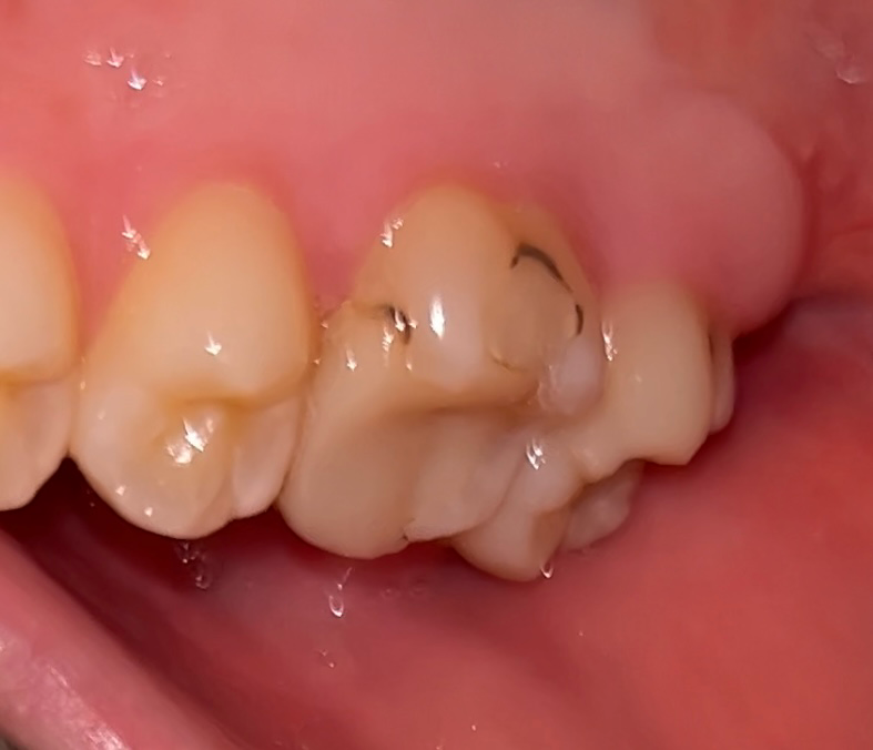
사진으로만 봤을 경우에는 충전된 재료 주변으로 착색이 된 것으로 보입니다.
충치가 깊지는 않은 것으로 보여서 간단하게 치료를 할 수 있지만 자세한 확인을 위해서는 치과에서 진료를 받아 보는 것이 좋습니다.
안녕하세요. 김지훈 치과의사입니다.
발치까지 갈 상태는 아닙니다. 충치치료 다시 받으시면 되니 걱정마시고 치과 가보시면 됩니다.
안녕하세요. 최석민 치과의사입니다.
치료한 부위 주변으로 추가적으로 충치가 생긴 것 같지는 않고 변색,착색으로 생각됩니다 발치를 할 정도의 충치는 아닙니다
안녕하세요. 김철진 치과의사입니다.
레진치료를 하신거 같은데 레진은 시간이 오래 지나면 미세틈이 생기면서 변색 및 착색이 될수 있습니다. 저정도면 제거후에 크라운 치료를 하셔야될수도 잇을것같습니다.
안녕하세요. 송우식 치과의사입니다.
현재 사진상으로는 발치까지는 필요로되어보이지는 않으며, 발치는 자연치아를 보존하기 어려울때 최후의 방법입니다.
궁금증 해소에 도움이 되시길 바라며, 도움이 되신 경우 '추천' 부탁드립니다.

