아핫뉴스실시간 인기검색어
아핫뉴스 화산 이미지
화산 아이콘 11
'미스트롯4' 오디션
아하

의료상담

치과

정말부유한꽃등심
정말부유한꽃등심

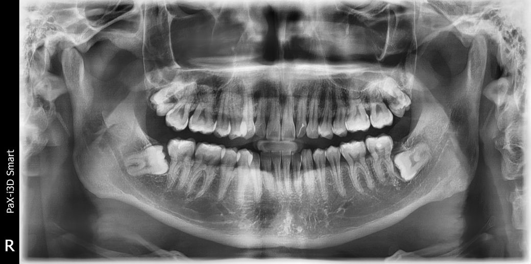
치과 어금니 엑스레이 좀 봐주세요!!!!

치과 어금니 좀 봐주세요. 어금니 안쪽이 썩었다고 하는데 뒷면을 봐도 육안으로 확인이 안되요. 앞니쪽은 뒷면이 보이는데 어금니는 도통 안 보이네요.

  • 1번 째 사진
5개의 답변이 있어요!
  • 안녕하세요. 최석민 치과의사입니다.

    치근단 방사선 사진 찍어보면 더 정확히 알 수 있을 것 같은데 충치 의심되는 쪽은 왼쪽 위 첫번째 어금니, 오른쪽 아래 첫번째 어금니입니다 (엑스레이 사진상에서는 좌우 반전입니다)

  • 안녕하세요. 안상우 치과의사입니다.

    방사선 사진으로는 좌측 위에 어금니 인접면에 충치가 보이고 있습니다 하지만 정확한 확인하기 위해서는 육안으로 화분이 필요할 것으로 생각됩니다.

    자세한 확인을 위해서 치과에서 진료를 받아 보는 것을 권해 드립니다

  • 안녕하세요. 김철진 치과의사입니다.

    큰어금니 사이에 충치가 잇어 보입니다. 인레이 또는 크라운 치료를 하셔야될수도 잇을것같습니다.

  • 안녕하세요. 김지훈 치과의사입니다.

    파노라마 사진은 전체적인 판독을 위한 것이니 각 치아에 대한 진단이 궁금하시면 치근단 사진 부탁드립니다.

  • 안녕하세요. 정진석 치과의사입니다.

    해당 x-ray 사진으로는 개별적인 치아의 상태 파악에 어려움이 있습니다. 전체적으로 조명하는데는 중요한 사진이지만 치아 하나하나를 개별적으로 판단하기 위해서는 치아마다 사진을 찍어봐야 합니다. 현재 사진에는 중첩되는 부분도 많으므로 pa 사진 등이 필요합니다.

    아무쪼록 저의 답변이 문제 해결에 작게 나마 도움이 될 수 있기를 기원드립니다. 항상 건강하고, 행복하세요^^