아하
  • 토픽

  • 스파링

  • 잉크

  • 미션


의료상담

햄찌썬더

햄찌썬더

임플란트 잇몸부위 간단한 질문있습니다

잦은 질문으로 귀중하신 시간을 앗아가 죄송하다는 말씀 먼저 드립니다..

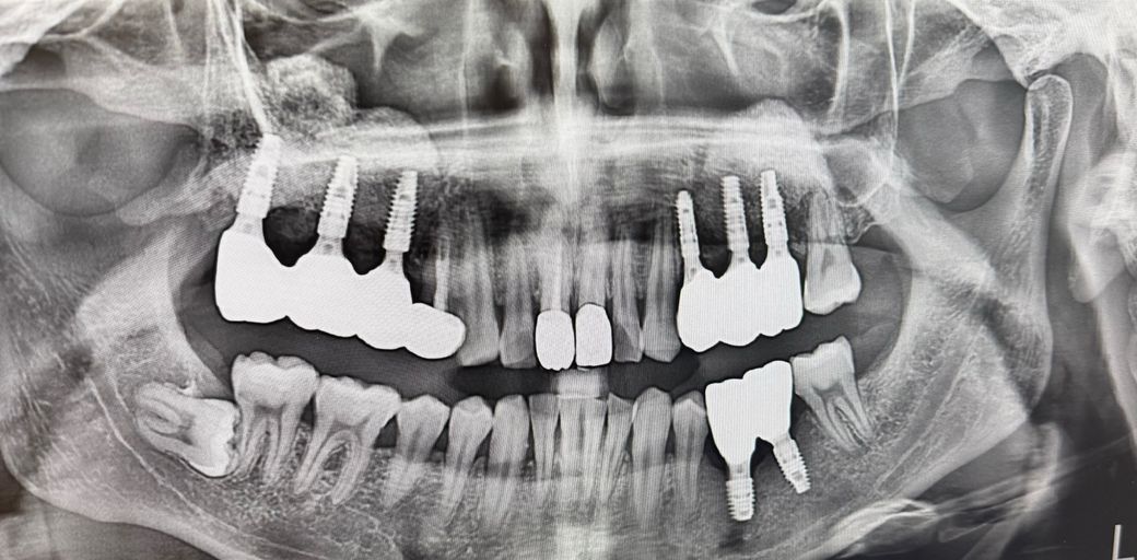
질문으로는 파노라마 사진에서 왼쪽의 상악 보철물의 세번째 잇몸입니다

1,2번째 사진에서 보시다시피 경계면(?)이 붉은 상태인지 어림잡아 3주가량 되었는데

3주전 주변의 틈새로 플라그 관리가 어려워서 치과에서 주변부 청소 및 소독을 받고 이후에 워터픽과 양치질로 관리를 해왔는데 잇몸이 붉어서 불안하네요..

통증이나 열감등은 없는데 주위염일까봐 무서워여,,

  • 1번 째 사진
  • 2번 째 사진
  • 3번 째 사진

2개의 답변이 있어요!

  • 안상우 치과의사

    안상우 치과의사

    목동안치과의원

    안녕하세요. 안상우 치과의사입니다.

    임플란트 주변의 잇몸은 염증이 쉽게 생길수 있는 구조이기 때문에 꼼꼼히 관리를 해줘야 합니다.

    양치질을 꼼꼼이 하고 치간칫솔과 워터픽을 사용해 준다면 잇몸에 염증이 생기는 것을 방지 할수 있지만 잇몸을 너무 세게 자극하게 되면 손상이 가해질수 있어 주의를 해야 합니다.

    사진으로보이는 붉은색은 과도한 자극으로 잇몸에 손상이 가해졌을 가능성이 높아 보입니다.

  • 안녕하세요. 최석민 치과의사입니다.

    엑스레이상으로나 실물 사진으로나 크게 문제가 있어보이는 상태는 아닌 것으로 보입니다.