아핫뉴스실시간 인기검색어
아핫뉴스 화산 이미지
화산 아이콘 11
일본 한국
아하

의료상담

치과

냉엄한콩중이118
냉엄한콩중이118

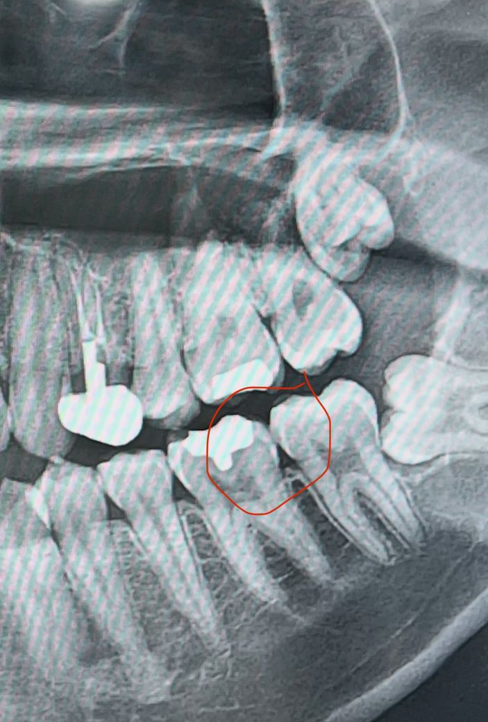
이 엑스레이 사진 인접면 충치가 맞을까요?

두 군데 다 가보고 엑스레이 찍었는데 직접 보고 기구로 긁으셨는데 검은색이 보이긴 하는데 충치가 아니고 착색이니까 양치 잘 하라고 하시네요.. 엑스레이상으로도 문제 없다고 하시는데 이 부분이 충치일까요? 착색이 저런식으로 보이기도 하나요? 그리고 만약 충치가 맞다면 6개월 이후에 검진할때 훨씬 심해져있지는 않을까요? 인접면 충치가 진행이 빠르다고 해서요..

  • 1번 째 사진
5개의 답변이 있어요!
  • 안녕하세요. 정진석 치과의사입니다.

    경미한 충치일 수도 있으며, 말씀하신 것처럼 착색일 수 있습니다. 또한 경미한 충치라도 관리가 잘 된다면 더 이상 진행이 되지 않을 수 있습니다. 해당 사진에서는 인접면 충치를 정확히 판단하기 어려우며, 보통은 standard view 사진을 찍어서 정밀 검사를 하면 알 수 있습니다. 충치는 단기간에 진행되지 않으며 6개월 뒤에 다시 검사해봐도 괜찮습니다.

    아무쪼록 저의 답변이 문제 해결에 작게 나마 도움이 될 수 있기를 기원드립니다. 항상 건강하고, 행복하세요^^

    1명 평가
  • 안녕하세요. 김철진 치과의사입니다.

    파노라마 사진으로는 판단하기는 어렵고 작은 엑스레이 사진을 찍어보셔야될것같습니다. 치아 사이 충치가 의심되긴합니다.

    1명 평가
  • 안녕하세요. 최석민 치과의사입니다.

    엑스레이 사진상 충치 가능성 있어보입니다 착색은 엑스레이상으로 나타나지 않고요 인접면 충치는 진행이 빠른것 맞습니다

    1명 평가
  • 안녕하세요. 안상우 치과의사입니다.

    사진으로 봤을 경우에는 인접면에 병서가 보이는 것처럼 보이기도 합니다. 하지만 해당 부위의 충치는 치아를 삭제해보지 않는 이상 정확히 확인하기 힘듭니다. 불편감이 없다면 치실을 이용해서 관리를 해보는 것을 권유드립니다.

    1명 평가
  • 안녕하세요. 김지훈 치과의사입니다.

    충치일 가능성도 있어보이지만 치과에서 아니라고 했다면 아닐겁니다. 치실 잘쓰시면 됩니다.

    1명 평가