의료상담
담낭 초음파를 보았는데 암 덩어리인가요? 결석(슬러지) 인가요?
성별
남성
나이대
28
기저질환
없음
복용중인 약
없음
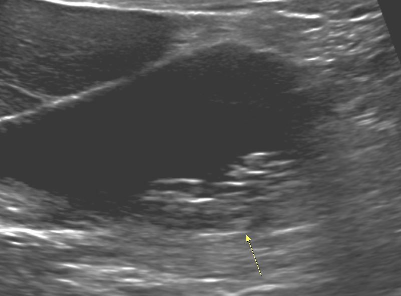
소노그래퍼 선생님은 자세에 따른 움직임과 신호를 근거로 슬러지(결석)이라고 의견 주신다는데 저는 영상에서 음영이 나타나지 않아 암은 아닐까 너무 걱정 됩니다.
진료 예약이 있지만 기간이 많이 남았고, 조영제 알러지가 있어 CT 촬영에 어려움이 있습니다.
간은 이상 없고 췌장 body duct 2.3mm check
GB Polyp 다수 발견되었고 가장 큰 건 9mm입니다.
소화불량으로 식사를 못해서 그런지 체중이 3kg 정도 감소하였지만 증상 있기 전까지는 체중 감소 없었습니다.
의견 주시면 감사하겠습니다.......
55글자 더 채워주세요.
1개의 답변이 있어요!
안녕하세요. 아하(Aha) 의료분야 답변자 외과 전문의 배병제입니다.
담낭 내부에서 발견된 병변으로 고민이 많으시겠습니다.
초음파 사진을 두 장만 봐서는 판단이 어렵긴 합니다만, 체위 변경에 따른 움직임을 실시간으로 확인했다면 작은 돌이나 슬러지일 가능성이 높습니다.
다만 담석은 담낭 용종과 함께 발견된 경우 수술의 적응증이 되므로 수술이 가능한 병원에서 담낭절제술에 대한 상담도 함께 받으시는 것이 좋겠습니다.
저의 답변이 도움이 되셨길 바랍니다.

