의료상담
돌출입, 구호흡 질문이요2___________
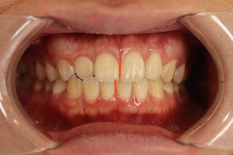
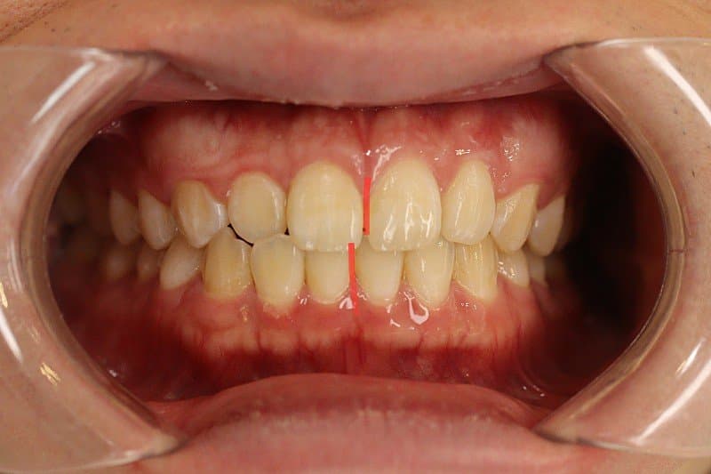
)치아 뼈가 전방으로 많이 나온 상태인가요?
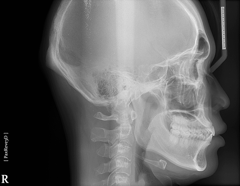
)골격적으로 나온건가요?
)교정으로는 개선은 힘든가요? 해결하려면 양악이나 ASO수술이 필요한가요?
)돌출입이 있으면 수면시 입벌림이나 구호흡은 개인차인가요? 돌출입이 있다고 수면시 꼭 구호흡을 하는건 아닌가요?
---------
55글자 더 채워주세요.
1개의 답변이 있어요!
안녕하세요. 정진석 치과의사입니다.
1. 전방으로 많이 나왔다고 볼 수도 있지만 심미적으로 봤을 때 치료를 하지 않아도 되는 정도입니다. 본인이 현재 안모에 불만족스럽다면 이는 치료의 대상입니다.
2. 해당 정도로는 교정으로 개선이 불가능하며 양악을 하셔야 합니다.
3. 돌출입이 있다고 해서 무조건 구호흡이 나타나는 것은 아니나 돌출입이 원인이 되어 현재의 증상을 악화시킬 수도 있습니다.
아무쪼록 저의 답변이 문제 해결에 작게 나마 도움이 될 수 있기를 기원드립니다. 항상 건강하고, 행복하세요^^
정진석 치과의사 드림

