아핫뉴스실시간 인기검색어
아핫뉴스 화산 이미지
아하

의료상담

기타 의료상담

꾸준한까치209
꾸준한까치209

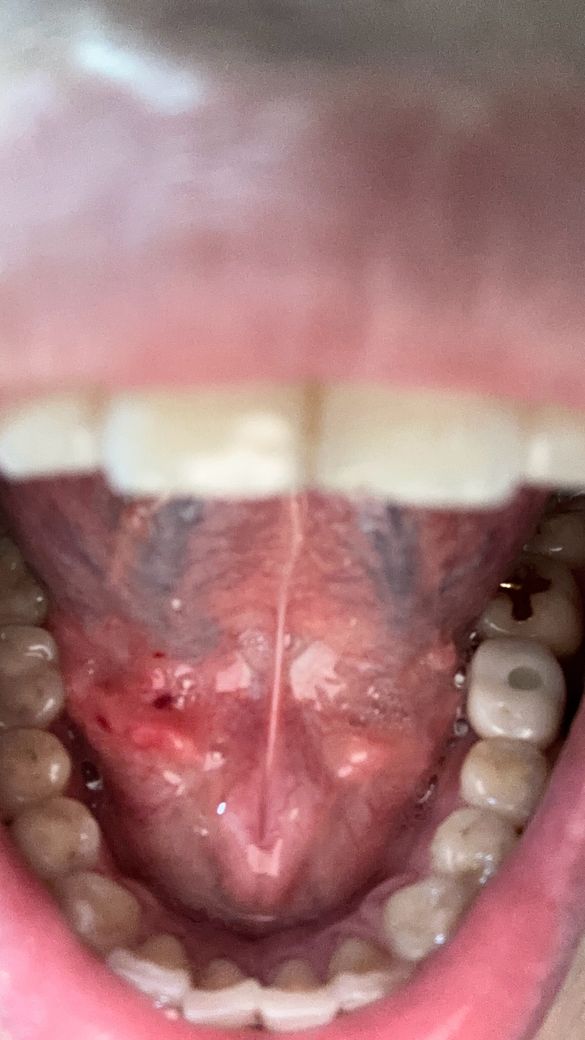
양치하다가 칫솔로 눌렀는데 피나는거처럼 됬어요

성별
남성
나이대
30대

빨갛게 된부분이 있는것같고 그래서 이거 병원가봐야되는지 그냥 냅둬도 괜찮음지 궁금해요 어떻게하는게 좋을까요?? 병원은 무슨과인가요?

  • 1번 째 사진
  • 2번 째 사진
  • 3번 째 사진
  • 4번 째 사진
  • 5번 째 사진
55글자 더 채워주세요.
1개의 답변이 있어요!
  • 정확한 진단과 치료는 의사의 진료통해 확인하는 것이 필요합니다. 아래 내용은 참고만 해주세요.

    양치 중 칫솔로 인해 잇몸이 붉어지고 피가 나는 것은 잇몸 염증의 초기 증상일 수 있습니다. 칫솔질 시 잇몸에 과도한 힘이 가해지거나, 치석이나 치태가 쌓여 잇몸이 자극받았을 가능성이 있습니다. 우선 2~3일 정도는 부드러운 칫솔모를 사용하여 잇몸에 자극을 최소화하고, 치실이나 치간칫솔을 사용하여 꼼꼼하게 치아 사이를 청결하게 관리해주세요.

    만약 며칠 후에도 증상이 호전되지 않거나, 붓기나 통증이 심해진다면 치과에 방문하여 정확한 진단을 받아보는 것이 좋습니다. 치과에서는 잇몸 상태를 확인하고 필요한 경우 스케일링이나 다른 치료를 통해 잇몸 건강을 회복할 수 있습니다.

PC용 아하 앱 설치 권유 팝업 이미지장도연이 추천하는 아하! 앱으로 편리하게 사용해 보세요.
starbucks
앱 설치하고 미션 완료하면 커피 기프티콘을 드려요!