의료상담
55글자 더 채워주세요.
4개의 답변이 있어요!
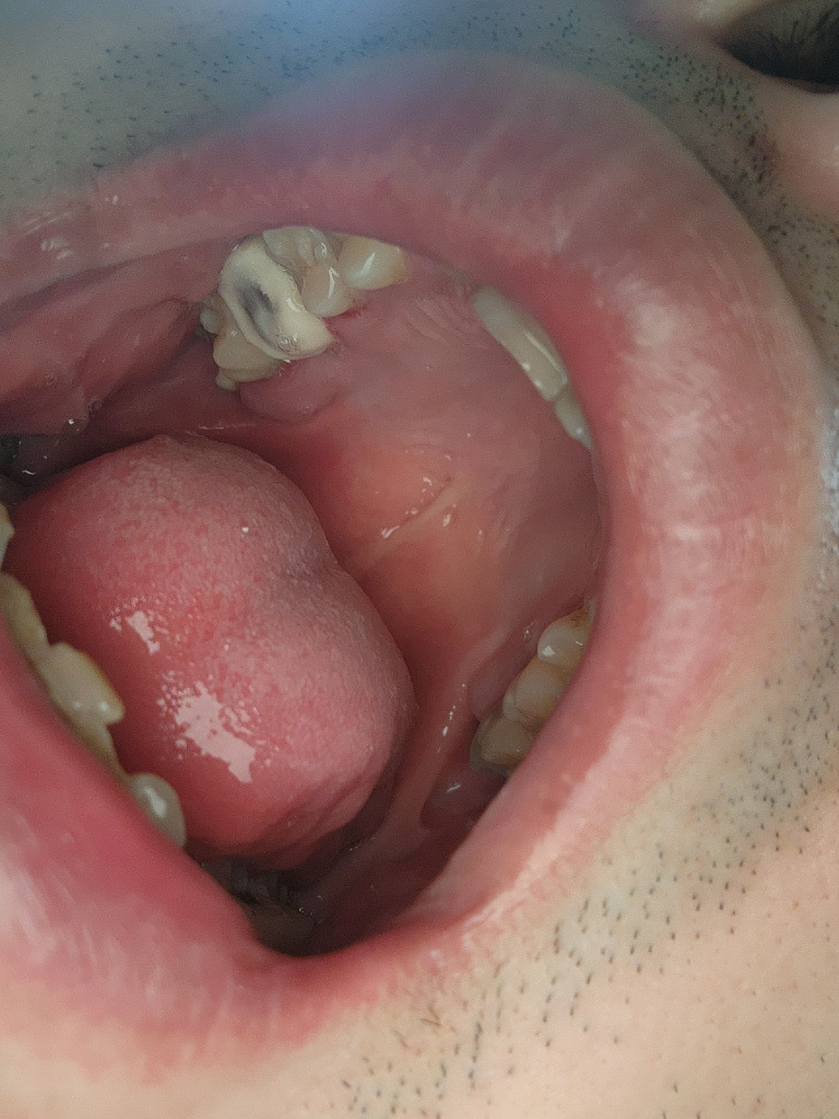
안녕하세요. 김철진 치과의사입니다.
임시치아 상태이신거 같은데 임시치아 상태는 너무 딱딲하거나 질긴음식은 피해주시고, 말그대로 임시로 붙혀 놓은거니 잘 떨어질수 잇으 주의 하시는게 좋습니다.
안녕하세요. 김지훈 치과의사입니다.
흡연이나 음주, 딱딱하고 질긴음식 모두 조심하시고 웬만하면 하지 않으시는 것이 좋겠습니다
안녕하세요. 안상우 치과의사입니다.
임시치아는 보철물보다 강도가 약하고 잘 탈락할 수 있기 때문에 그 이전까지 부드러운 음식을 먹는 것이 좋습니다. 또한 너무 끈적끈걸 먹을 수 있으면 탈락할 수 있기 때문에 너무 끈적한 음식을 드시지 않는 것이 좋습니다. 흡연을 하는 것은 임시 치아와는 큰 영향이 없습니다.
안녕하세요. 최석민 치과의사입니다.
해당 부위 딱딱하거나 질긴 음식만 주의하면 되겠습니다. 음주나 흡연은 임시치아와 크게 상관은 없습니다. 다만, 음주와 흡연은 모두 치아와 잇몸에 좋지 않습니다.

