아하
  • 토픽

  • 스파링

  • 잉크

  • 미션


의료상담

고마운잉어93

고마운잉어93

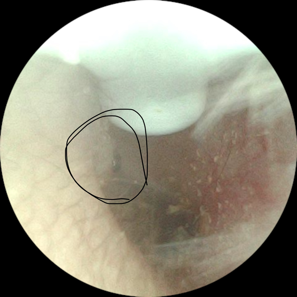
귀 안에서 검은 점 이거 뭔가요?

성별

여성

나이대

24



귀파다가 발견했는데 이거 뭔가요? 점은 아닌거같은데

건들면 살짝 아프긴해요 ㅜㅠㅠ

이빈후과 가봐야할까요? 궁금합니다!!!

  • 1번 째 사진

1개의 답변이 있어요!

  • 이영민 의사

    이영민 의사

    서울아산병원

    안녕하세요. 이영민 의사입니다.

    사진이 흐려 정확히는 알 수 없겠으나 이전에 귀를 파면서 생긴 외상으로 인한 딱지일 가능성이 있으며, 통증이 심하다면 염증으로 발전할 수 있으므로 이비인후과에 가셔서 진료를 보시는 것이 도움이 될 것으로 사료됩니다.

    감사합니다.