홈
토픽
스파링
잉크
미션
전문가 신청
베리몰
나도 질문하기
의료상담
제일산뜻한독수리
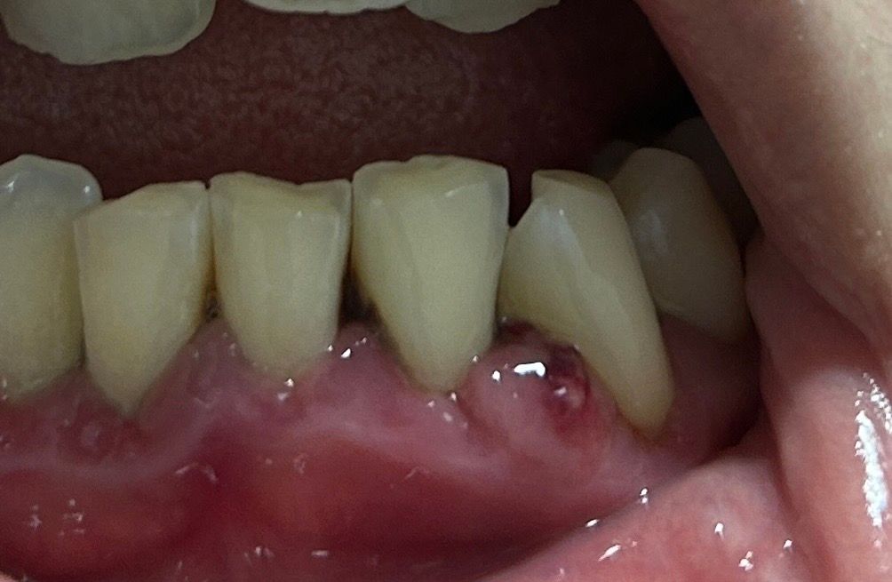
견치 아래에 작은 여드름 같이 톡 튀어나왔었는데 아침에 일어나니 터져서 고름같은게 나왔어요.
치아를
두드리면 통증도 있고요 측절치와 견치를 두드리면 아픈데 측절치의 아픔의 정도가 더 커요
너무 아파서 소염제 먹고자긴했는데 이건 어떤 증상인가요?
지금은 고름은 안나오고 저렇게 빨갛게 됐어요
사진 보기
5개의 답변이 있어요!
김지훈 치과의사
메가
∙
안녕하세요. 김지훈 치과의사입니다.
고름이 터질 정도라면 잇몸 염증이 상당히 진행되었을 것으로 예상되며 빠른 치료가 필요합니다.
평가
응원하기
송우식 치과의사
솔플란트치과 경기도 성남시 모란역
안녕하세요. 송우식 치과의사입니다.
잇몸 농양입니다. 치과에 가서 잇몸뼈 상태 확인하고 치료할 수 있으면 치료해야 합니다. 저정도면 잇몸뼈가 많이 없어져 치아 못살릴 수도 있습니다.
김철진 치과의사
가까운우리치과
안녕하세요. 김철진 치과의사입니다.
잇몸에 염증이 심하게 생긴거 같습니다. 단순 잇몸염증이라면 잇몸치료만 하시면되지만, 치아가 관련되어 잇다면 신경치료 심하면 발치까지도 하셔야될수도 잇을것같습니다.
안상우 치과의사
목동안치과의원
안녕하세요. 안상우 치과의사입니다.
사진으로 봤을 경우에는 치주 염으로 보입니다. 치주염은 치압 주변에 치석 등이 오랫동안 있게 되어 잇몸 뼈가 망가지게 되고 생기는 증상입니다. 이런 경우 잇몸 치료 등이 필요할 수 있으니 자세한 확인을 위해서 치과에서 진료를 받아보는 것입니다. 좋습니다.
최석민 치과의사
강원도 원주의료원
안녕하세요. 최석민 치과의사입니다.
잇몸 농양은 잇몸쪽 문제일 수도 있고 치아 문제일 수도 있습니다 치과가서 검사해보고 필요한 치료를 해야합니다