의료상담

침샘염으로 인해 귀.이갑개가 간지러울수 있나요

성별

남성

나이대

40

기저질환

없음

복용중인 약

부신피질호르몬제

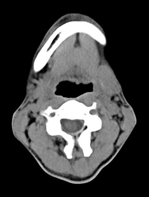
침샘염이 생기고 밥먹고 1시간뒤 무조건 귀 이갑개가 간지럽습니다. 이런지 4개월정도됐구요. 2주전 타석증으로 인해 침샘위축되고 침샘염증잇어서 타석등 수술 햇는데도. 귀간지럼 증상이잇네여.. 또한 수술전 있던 턱뺨 저린증상도 여전합니다 아직 염증이 제거되지 않아서일가요. 침샘위축 만성염증 같기도하고 침샘이

침샘이.너무 위축된것같습니다.. 이증상이 계속되몀 침샘제거를 하는게.나을가요

  • 1번 째 사진

아직 답변이 없어요.