아하
  • 토픽

  • 스파링

  • 잉크

  • 미션


의료상담

떳떳한꽃무지11

떳떳한꽃무지11

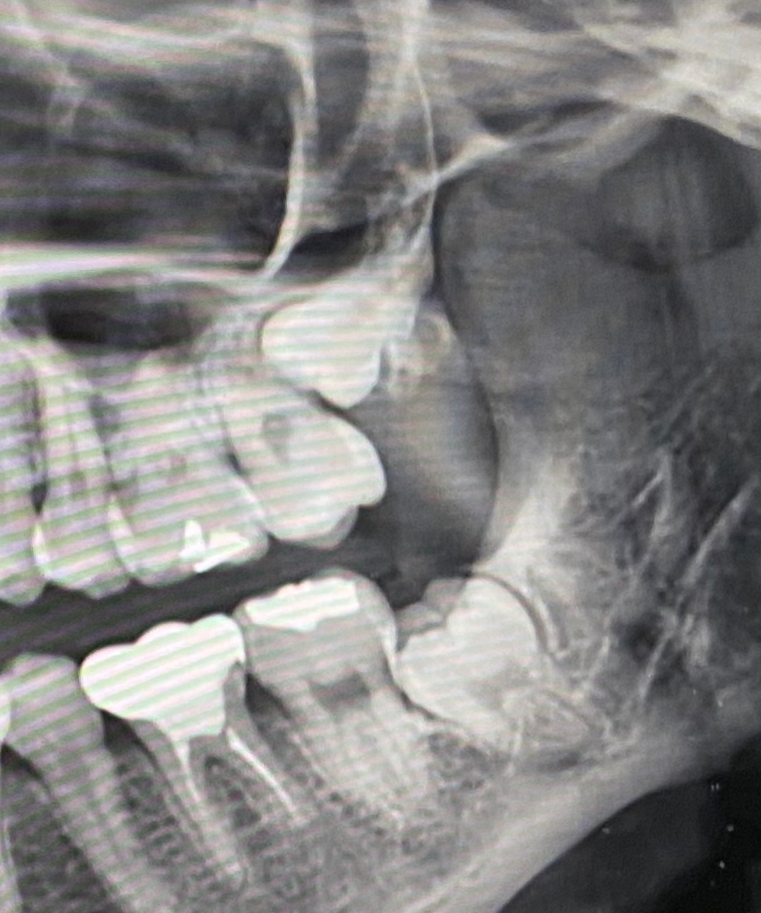
사랑니 발치 난이 어느정도 될까요?


사랑니 4개중에 2개 뽑고 2개 남았는데 난이도가 어떨까요??


둘다 완전매복이고

반대쪽 아래 뽑을때는 턱뼈에 묻혀있다해서 뽑고나서 통증과 붓기때문에 고생했는데

이쪽도 그럴까요?? ㅜㅜ


치과에서 남들보다 아래턱뼈가 짧다? 고 하셨는데 사랑니 뽑을때 문제가 되는건 아닌지 궁금합니다

  • 1번 째 사진

3개의 답변이 있어요!

  • 김철진 치과의사

    김철진 치과의사

    가까운우리치과

    안녕하세요. 김철진 치과의사입니다.

    아래쪽은 빼는데는 크게 어렵진 않아보이지만 오히려 위쪽이 뺄때 잇몸을 열거나 뼈삭제를 많이 해야될가능성이 높아 보이네요.

  • 탈퇴한 사용자

    탈퇴한 사용자

    안녕하세요. 김주혁 치과의사입니다.


    왼쪽 아래 사랑니의 경우에도 오른쪽과 마찬가지로 완전 매복 되어있어 비슷한 통증이나 붓기가 생길 것으로 보입니다


    정확한 것은 치과에서 상담 받아보는 것이 좋습니다




  • 안녕하세요. 김지훈 치과의사입니다.

    위 사랑니는 무난하지만 아래쪽은 턱이 작아 신경과 치아가 가까워 신경손상 가능성이 있습니다.