아핫뉴스실시간 인기검색어
아핫뉴스 화산 이미지
화산 아이콘 11
스트래티지 비트코인 매입 중단
많이 본
아하

의료상담

성형외과

신박한코브라67
신박한코브라67

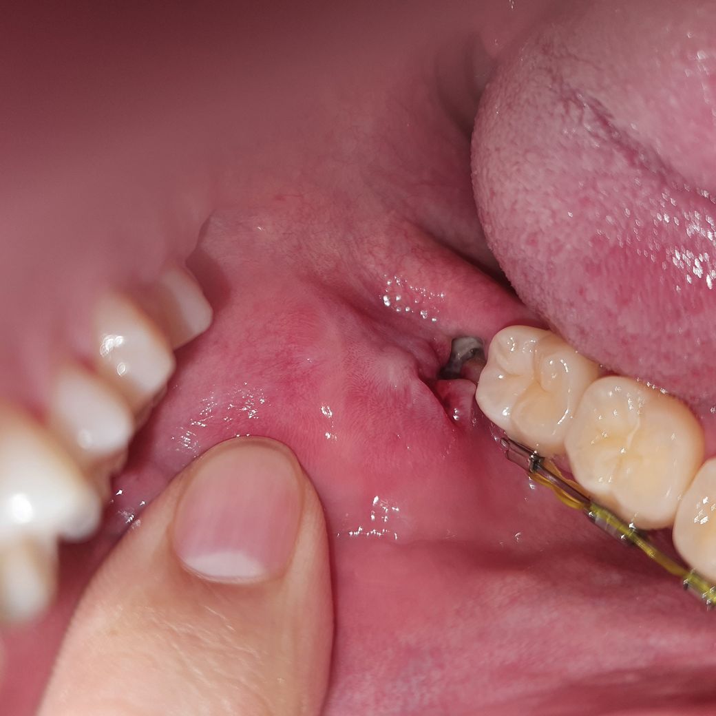
사랑니 발치 했는데 치조골 인가요??

하악 사랑니를 발치한지 일주일 정도 지났는데 안쪽에 하얀게 있어요!

치조골이 맞나요??

아니라면 무엇인가요??

실밥 제거한 날 찍은 사진인데 가만히 두면 아물겠죠?

만약 안에 음식물이 들어가면 자연히 빠지겠죠?

  • 1번 째 사진
3개의 답변이 있어요!
  • 검붉은강아지135
    검붉은강아지135

    안녕하세요? 아하(Aha) 의료 분야 지식답변자 정진석 의사입니다.
    질문하신 내용에 대하여 아래와 같이 답변 드립니다.

    일부 치조골과 정상적으로 회복되고 있는 섬유 조직 및 육아조직으로 보입니다. 즉 우리 회복되는 과정에서 보이는 정상적인 반응이며 실밥은 다로 보이지 않습니다. 또한 현재 주변 부위 염증이 관찰되지 않고 붓기도 없는 것으로 보아 정상적으로 회복되고 있는 것으로 판단됩니다. 크게 걱정하지 않으셔도 되며 시간이 지나면 자연스럽게 잇몸이 회복되고 닫힐 것입니다.

    아무쪼록 저의 답변이 문제 해결에 작게 나마 도움이 될 수 있기를 기원드립니다. 항상 건강하고, 행복하세요^^

    정진석 치과의사 드림


  • 안녕하세요? 아하(Aha) 의료 분야 지식답변자 이정현 의사입니다.
    질문하신 내용에 대하여 아래와 같이 답변 드립니다.

    사진으로 봤을 때 음식물이 오래되어 생긴 치태나 찌거기 또는 혈병의 일종일 수 있습니다.

    또는, 말씀하신대로 치조골이 노출된 것일 수 도 있지만, 통증이 없다면 보통 가능성이 낮습니다.

    정확한것은 직접 보고 만져봐야 알 수 있기때문에, 치과에서 검사를 받아보시기 바랍니다. 감사합니다.

  • 안녕하세요? 아하(Aha) 의료 분야 지식답변자 전성화 의사입니다.
    질문하신 내용에 대하여 아래와 같이 답변 드립니다.

    사랑니 발치한 자리에 흰색이 보여서 걱정되셨군요.

    발치 후 dry socket이 아니라면 치조골이 저렇게 하얗게 노출되어 있지 않기 때문에 그냥 음식물이 들어간 것 같습니다.

    음식물이 들어가면 저절로 빠질 수 있고 시간이 지나면 잇몸이 닫혀서 잘 아물겠지만 물로 헹궈주시거나 따뜻한 생리식염수로 헹궈주시면 좋습니다.