아하
  • 토픽

  • 스파링

  • 잉크

  • 미션


의료상담

센스있는땅콩잼

센스있는땅콩잼

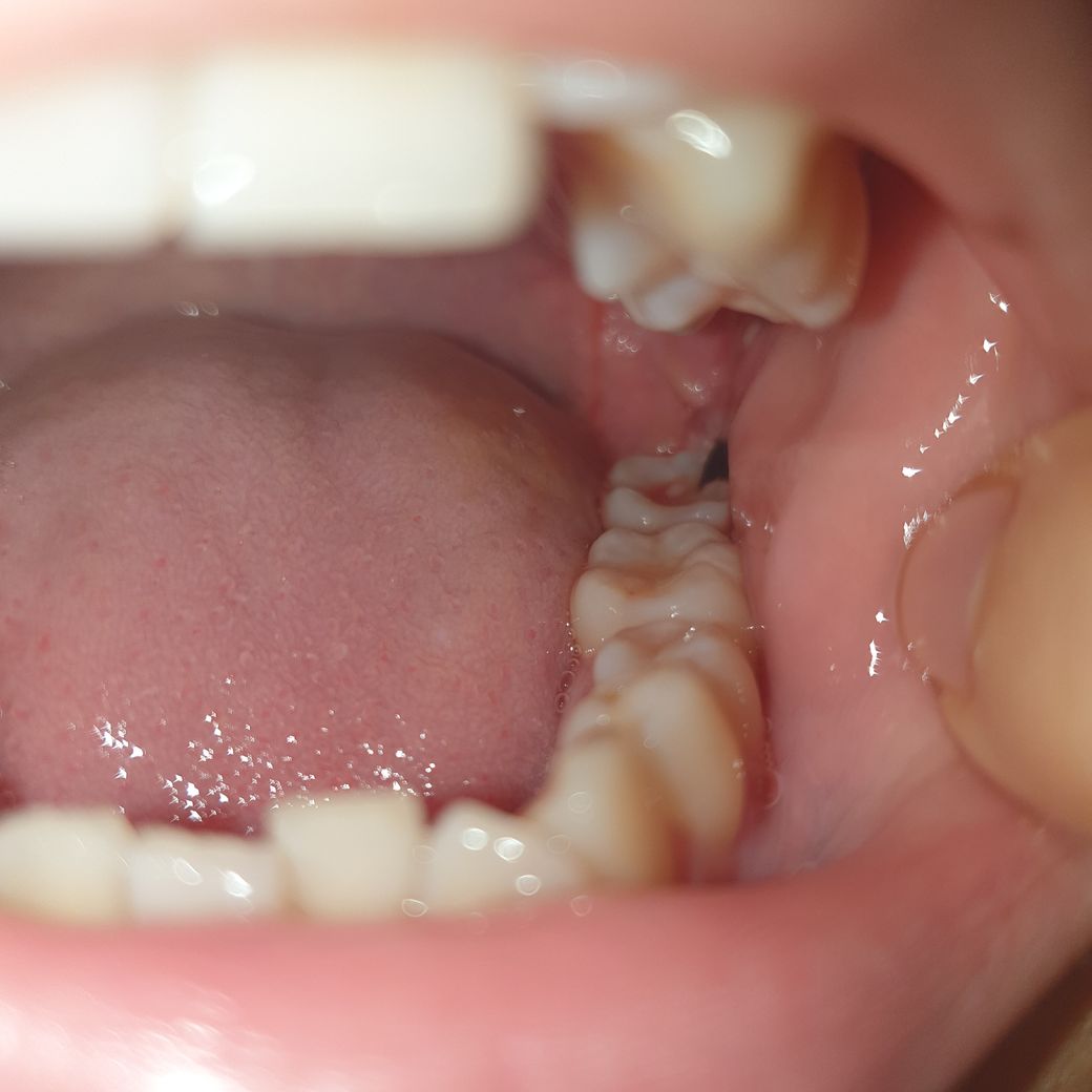
사랑니 발치 3일차인데 혈병이 떨어졌어요

13일에 왼쪽 아래 사랑니 발치했는데 괜찮나요? 제가 가글을 자주 해서 그런가 혈병이 떨어진 것 같아요...

그리고 드라이소켓이 걱정되는데 가능성 없을까요?

  • 1번 째 사진

4개의 답변이 있어요!

  • 김철진 치과의사

    김철진 치과의사

    가까운우리치과

    안녕하세요. 김철진 치과의사입니다.

    사라니 발치를 하시고 나서 지혈이 잘되셧다면 크게 신경은 쓰지 않으셔도 될것같습니다. 음식물이 남아 잇지 않도록만 가글을 잘해주세요.

  • 안녕하세요. 김지훈 치과의사입니다.

    사랑니 발치 3일 차 이면 잘 낫고 있는 것으로 보입니다. 겉에 붙은 혈병은 떨어져도 괜찮습니다.

  • 안녕하세요. 송우식 치과의사입니다.

    현재 사진상 드라이소켓으로 보이지는 않으나 만약 통증, 붓기가 동반되고 지속되는 경우에는 염증의 가능성이 있기에 치과 진료를 받길 권합니다.

    만족스러운 답변되셨으면 합니다.

    <평가> 감사합니다.

  • 안녕하세요. 최석민 치과의사입니다.

    혈병은 계속 있는게 아니고 점차 잇몸 치유에 필요한 세포들이 형성되며 사라집니다

    가글은 음식물 빼주기 위해 필요하나 살살하시기 바랍니다