의료상담

신경치료 후 뿌리 염증 재발 통증 없는데 치료를 해야하나요?

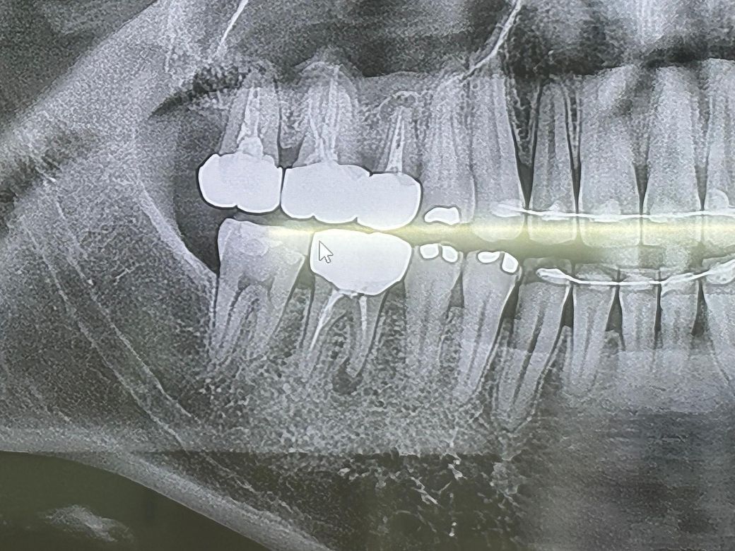
안녕하세요 5년 전 우측 아래 두 번째 어금니를 신경치료 했습니다.

최근 타 치과 검진 중, 엑스레이로 뿌리 쪽 염증 의심된다는 소견을 받아 임플란트를 권유 받았고,

불안감에 다른 미세현미경이 있는 타 치과를 방문하여 진료를 보니 통증과 고름이 없으니 조금 더 지켜보자는 권유를 받아서 한 시름 마음이 놓였으나,

다른 치과도 한 군데 더 가볼 생각입니다. 통증과 피지낭종 같은 염증 증상이 없는데 꼭 치료를 해야할까요??

다음 주 부터 한 달 여행 계획이 있어서 걱정이 되는 마음에 질문을 남겨봅니다.

  • 1번 째 사진

2개의 답변이 있어요!

  • 안녕하세요. 최석민 치과의사입니다.

    1. 뿌리끝 염증이 있는 것은 엑스레이상 너무 명확합니다.

    2. 만성 염증이면 통증은 없을 수도 있고요. 지금 당장 치료 안한다고 어떤 큰 문제가 생기거나 그러진 않습니다.

    3. 다만, 장기적인 관점에서는 염증이 잇몸뼈를 점차 녹일 겁니다.

    4. 어차피 재신경치료든, 치근단절제술이든, 임플란트든 며칠내로는 안 끝나니 여행갔다와서 시작하시면 됩니다.

    5. 지금까지 아무런 통증없었으면 여행동안 별다른 이상은 없을 가능성이 높습니다만 예방적으로 진통제 정도는 챙겨가세요

  • 안녕하세요. 정진석 치과의사입니다.

    말씀하신 부분의 치아의 뿌리 끝에 염증이 있어 보입니다. 만약에 해당 부분의 염증이 커지지 않고 있는다면 꼭 치료를 하지 않아도 되나 주기적으로 치과를 방문하여 검진은 하셔야 합니다. 다만 대부분은 해당 부분의 염증이 커지게 되어 문제를 일으키게 되어 발치를 하거나 재신경치료를 해야하는 경우도 많습니다.