아하
  • 토픽

  • 스파링

  • 잉크

  • 미션


의료상담

그윽한검은꼬리115

그윽한검은꼬리115

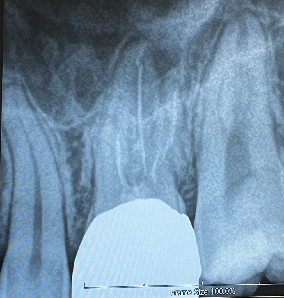
크라운 씌운곳이 아픈데 신경에 문제가 있는건가요?


크라운 씌운곳이 씹을때마다 너무 아프고, 누를때는 진통이 심합니다. 그래서 그 다음날 바로 내원해서 사진을 찍었습니다. 신경에 문제가 있나요? 크라운을 벗기고 다시 신경치료를 받아야하나요?


  • 1번 째 사진

4개의 답변이 있어요!

  • 탈퇴한 사용자

    탈퇴한 사용자

    안녕하세요. 장인아 치과위생사입니다.

    통증이 있다면 크라운을 제거하고 재신경치료를 고려하는것이 좋을것 같습니다.

    도움이 되기를 바랍니다. 건강하세요.

  • 안녕하세요. 안상우 치과의사입니다.

    사진을 봤을때는 치근단부위에 병소가 있는것으로 보입니다.

    치근단부위에 병소는 근관내 감염이 일어났을 경우에 생기는 데 재신경치료를 해서 치료를 할수 있어요.

    자세한 확인을 위해서 병원에서 진료를 받아 보시기를 권유드립니다.

  • 안녕하세요. 김철진 치과의사입니다.

    신경치료까지 하신치아가 아프시다면 치아에 금이갓을 경우와 교합이달라져서 그럴수도 잇습니다. 교합체를 받아보시고 그래도 불편하시면 재신경치료 치아에 금이간경우라는 발치를 하셔야될수도 잇습니다.

  • 안녕하세요. 김지훈 치과의사입니다.

    사진이 흐려서 정확한 진단을 하기는 힘들지만

    통증이 지속된다면 크라운을 제거 후 다시 신경치료 하셔야합니다.