의료상담
3가지 치과에서 인접면 충치 진료가 다릅니다
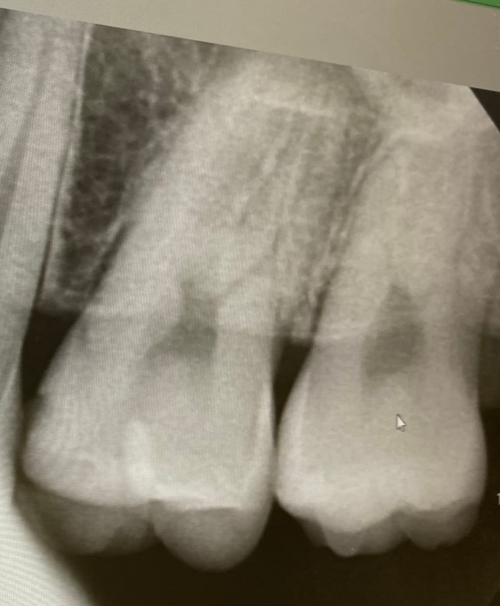
1번 치과는 왼쪽 위 4번째 안쪽면에 인접면 충치
왼쪽 위 2번째 어금니 레진속 2차 충치로
인레이 개당 35만 레진 15만원 씩 진료 받았습니다
2번 치과는 치료 할 수준이 아니다 경과를 지켜보자
3번 치과도 이런건 치료 안한다 경과를 지켜보자
1번과 2, 3번의 진료가 너무 상반되어 질문드립니다
어느쪽 진료가 더 맞다고 보시는지와
인접면 충치 재료를 gi와 레진도 가능하다는데
괜찮은지 궁금합니다
55글자 더 채워주세요.
3개의 답변이 있어요!
안녕하세요. 김철진 치과의사입니다.
육안상으로보면 치아 사이에 충치가 잇는거 같습니다. 관리를 잘하시면 진행이 안되겟지만 관리가 안되면 충치 진행이 빨라져서 신경치료를 해야될수도 잇으니 저라면 미리 치료를 하라고 권유할것같습니다 .
안녕하세요. 안상우 치과의사입니다.
육안으로 봤을 경우에는 인접면에 충치가 있는 것으로 보이긴 합니다. 하지만 엑스레이 사진상으로 크게 보이지 않기 때문에 관리를 해서 사용할 수 있는 경우도 있습니다. 충치가 더 커지는 것을 방지하기 위해 예방적으로 치료를 하고자 한다면 치료가 필요할 수 있으며 그렇지 않다면 관리를 하면서 상태를 지켜볼 수 있습니다.
안녕하세요. 김지훈 치과의사입니다.
치료여부는 평상시 관리상태나 구강상태에 따라 갈릴 수 있으며 지아이는 거의 쓰지 않습니다.

