아핫뉴스실시간 인기검색어
아핫뉴스 화산 이미지
화산 아이콘 11
윤석화 발인 빈소
아하

의료상담

치과

큰캥거루243
큰캥거루243

어금니 임플란트 시술 해도 될까요??

안녕하세요, 임플란트 가능한지 문의드립니다.

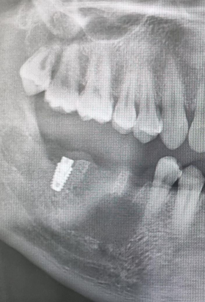
올초에 맨 끝 어금니 뿌리쪽 크랙이 있어 치아를 뽑고 임플란트를 진행하는 중에, 옆 어금니에 통증이 있어 엑스레이를 찍어보니 염증이 있어 급히 치아 2개를 추가 발치했습니다.(첫번째 사진과 같이 염증이 커서

통증 부위 옆 치아까지 발치)

그렇게 10월 치아 2개발치 후 11월에 입원 수술해서 염증을 제거하고 조직검사하니 육아낭종이라고 하더라구요.

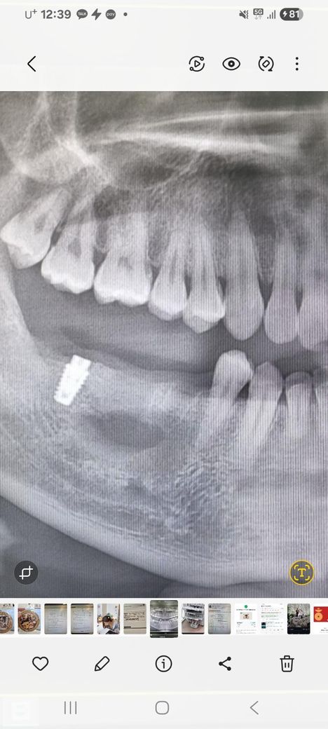
그렇게 수술 후 약 50여일정도 지난 시점으로 최근 xray(2번째 사진) 찍으니 뼈가 많이 복원되었다고 하면서, 송곳니 옆 작은 어금니 자리와 올초에 박은 임플란트 나사쪽 2개에 임플란트 시술을 하자고 합니다. (구멍이 큰 나머지 한곳은 내년에 시술)

해당 병원에서 실적 채우기로 급히 하려는건가 의심이 가지만 저도 한쪽으로만 계속 씹는게 불편해 고민중이네요.

  • 1번 째 사진
  • 2번 째 사진
1개의 답변이 있어요!
  • 안녕하세요. 최석민 치과의사입니다.

    적절한 조치로 뼈 상태가 많이 회복되긴 했네요. 근데 엑스레이상은 2차원 단면적인 거고, 수술 할 때 필드를 열어봐야 뼈 상태를 명확히 알 수 있습니다. 주치의가 판단해서 잇몸 절개해서 열어보고 심을만하면 심을거고, 아니면 덮고 나올겁니다.