아하
  • 토픽

  • 스파링

  • 잉크

  • 미션


의료상담

아마도화려한야채튀김

아마도화려한야채튀김

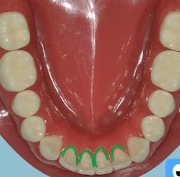
치과 선생님 제 치아에 초록색 얼룩이 생겨요

저는 예전부터 양치질을 대충 하거나 잘 헹구지 않으면

치아와 잇몸이 맞닿는 쪽에 초록색 물때(?) 이끼(?) 같은게 껴요..

스케일링 받으면 지워는 지는데 .. 그때일 뿐이에요

예를 들면 스케일링 받은지 3일 밖에 안되었는데..

양치질시 헹굼을 대충 했다면 또 물때 같이 초록색 얼룩 같은게 사진 처럼 생겨요

아무리 인터넷 검색을 해도 이 증상이 나오질 않아요

한번 생긴 얼룩은 아무리 빡빡 문질러도 아무리 꼼꼼하게 칫솔질 해도 없어 지지가 않아요 ㅠㅠ

클로르 헥시딘 같은거 쓰면 저 얼룩이 지워질까요?

  • 1번 째 사진

4개의 답변이 있어요!

  • 김지훈 치과의사

    김지훈 치과의사

    메가

    안녕하세요. 김지훈 치과의사입니다.

    사진만으로는 명확히 파악할 수는 없습니다. 세균 총 검사 등은 구강내과에서 받아보실 수 있습니다.

  • 안녕하세요. 김철진 치과의사입니다.

    사진에 보이는 부분은 치석및 착색이 잘 발생하는 부위입니다 치과에 가셔서 스켈링을 받아보세요.

  • 안녕하세요. 안상우 치과의사입니다.

    사진과 같은 부위에 초록색으로 착색이 된다면 차등을 많이 마시지 않는지 확인해보는 것이 좋습니다. 평소에 자주 먹는 음료에 착색이 되는 물질이 있다면 치석에 착색 물질이 침착되면서 초록색을 띨 수 있습니다. 이런 경우 착색을 유발하는 음료를 덜 먹는다면 착색이 되는 빈도를 줄일 수 있습니다.

  • 안녕하세요. 최석민 치과의사입니다.

    1. 일반적으로 초록색 치태, 치석은 세균성 질환입니다

    2. 말씀하신 것처럼 클로르헥시딘용액 등 항세균제 약품을 처방받아 2주내로 제한적으로 사용해보시기 바랍니다