아하
  • 토픽

  • 스파링

  • 잉크

  • 미션


의료상담

aaaaaaaaaaa

aaaaaaaaaaa

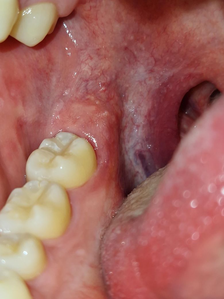
어금니 뒤 잇몸에 하얀 돌기같은게 있어요.

어금니 뒤 잇몸에 하얀 돌기같은게 있어요.

아프거나 불편하지는 않는데 그냥 구강 구조가 이렇게 생긴건가요?

아니면 구강 질환일까요?

  • 1번 째 사진

2개의 답변이 있어요!

  • 정진석 치과의사

    정진석 치과의사

    대학병원 통합치의학전문의

    안녕하세요. 정진석 치과의사입니다.

    일반적인 구강 구조 중 하나로 보여집니다. 정상 범주에 속하는 연조직으로 보여집니다. 하지만 해당 부분이 가렵거나 통증 및 압박감이 나타난다면 그때는 치과 방문 후 연조직에 대한 정밀 검사를 해보시는 것이 좋습니다. 그렇지 않다면 크게 걱정하지 않아도 됩니다.

    아무쪼록 저의 답변이 문제 해결에 작게 나마 도움이 될 수 있기를 기원드립니다. 항상 건강하고, 행복하세요^^

  • 안녕하세요. 최석민 치과의사입니다.

    잇몸 상피 조직의 이형성으로 보이는데 정확히 어떤 상태인지는 구강내과가서 조직검사를 해봐야 알 수 있습니다