사랑니 발치(왼쪽 위아래 발치후 반대쪽 발치는 언제즘 할까요?)
29일 오전 11시 30분
사랑니 왼쪽 위 아래를 동시에 발치하였습니다
이제 오른쪽 위 아래가 남아있는데
위에는 충치가 심해서 확실히 뽑아야 됩니다.
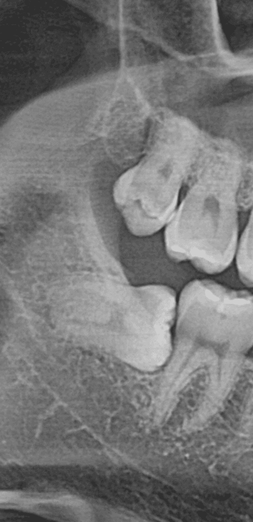
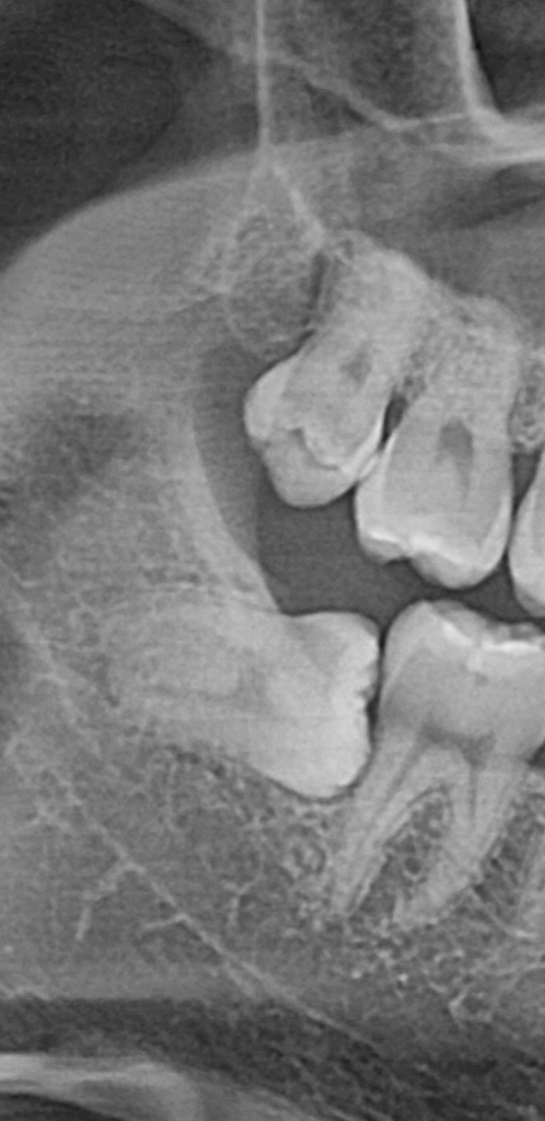
다만 아래 사랑니도 뽑아야되나 싶어서 고민입니다
사랑니 머리가 아주 조금 튀어나와있고
왼쪽도 오른쪽도 수평매복사랑니라서 치유 기간도 오래 걸릴텐데
위에만 뽑고 아래는 좀 더 나중에 뽑는게 나을까요....?
아니면 과감하게 동시에 뽑고
우유 두유 주스 이런거만 마시고 치유기간을 가져야할까요..?
아! 발치하신 의사분께는 구강악안면? 전문의이시고
다음주에 실밥 뽑을때 과감하게 뽑자고 하셨었습니다ㅠㅠ
안녕하세요. 김철진 치과의사입니다.
반대편도 뽑으셧다면 오른쪽도 그냥 같이 뽑으시는게 좋을것같습니다. 약간 머리가 맹출됫다면 그쪽에 염증이 생길 가능성도 잇습니다. 그리고 구강외과 전문의 선생님이라면 크게 문제가 되지 않을것같습니다.
안녕하세요. 정진석 치과의사입니다.
현재 사진에는 이상이 없겠지만 지금 상태에서 뽑는 것이 좋습니다. 지금 상태의 사랑니는 문제가 생기면 앞쪽 어금니도 손상시킬 수 있습니다. 따라서 통증이나 불편감이 없을 때 미리 발치하는 것을 추천드립니다. 가능하면 즛앙이 없을 때 뽑는 것이 좋습니다.
아무쪼록 저의 답변이 문제 해결에 작게 나마 도움이 될 수 있기를 기원드립니다. 항상 건강하고, 행복하세요^^
정진석 치과의사 드림
안녕하세요. 김지훈 치과의사입니다.
구강악안면 외과 전문의 선생님께서 뽑자고 하셨으면 믿고 뽑으셔도 될 것 같으며 한번에 같이 뽑는 게 불편감이 더 적을 것 같습니다.
안녕하세요. 장인아 치과위생사입니다.
반대편 발치는 정해진 기간은 없지만 한달정도후 발치를 권장합니다.
아래 매복 사랑니는 발치 하는게 좋습니다. 인접치아의 치근흡수, 인접치의 이동, 악궁의 공간소실, 치아낭종 형성, 매복 주변 부위의 감염 및 통증, 림프절부종, 음식물을 씹을 때 매복치 주위에서 불쾌한 입맛, 입을 열때 불편감, 턱 뼈의 통증 등을 유발 할수 있기 때문입니다.
도움이 되기를 바랍니다. 건강하세요.
안녕하세요. 안상우 치과의사입니다.
기울어져 나고 있는 사랑니의 경우에는 앞에 이물질이 저류하게 되어 앞의 치아에 충치를 발생시킬가능성이 높아요.
음식물이나 이물질이 잘 저류할수 있어서 앞에있는 치아와 치주조직에 안좋은 영향을 미치게 될가능성이 있다면 예방차원에서 발치를 하는것이 좋습니다.

