아핫뉴스실시간 인기검색어
아핫뉴스 화산 이미지
화산 아이콘 11
조현 장관 관세 발언
아하

의료상담

치과

어쩐지감각적인흰곰
어쩐지감각적인흰곰

양악수술 건강보험 적용 가능한지 알려주세요.

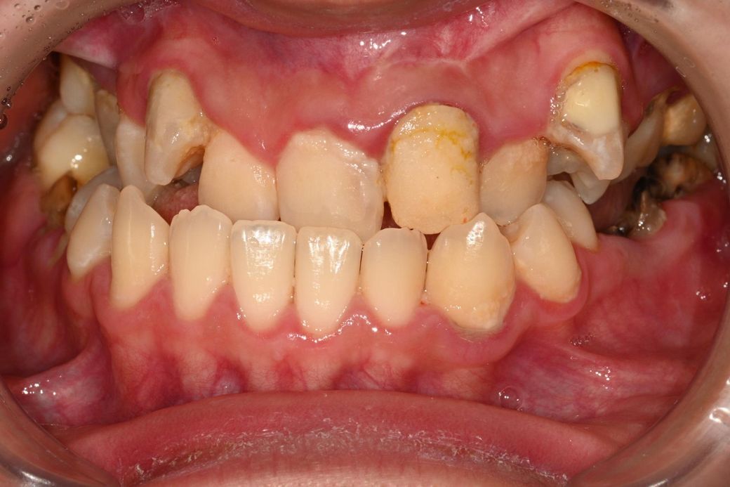
상하악 중절치 치간선의 어긋남으 10mm이상에 해당하는지 육안으로 봤을때 어느정도인지 알려주세요..

그리고 치료목적 양악수술 보험적용이 가능한 실비보험도 알려주세요 ㅠㅠ

  • 1번 째 사진
2개의 답변이 있어요!
  • 안녕하세요. 송우식 치과의사입니다.

    육안으로 보기에는 심한 편이라 의료보험 적용될 가능성 높습니다. x-ray 소견도 보아야 합니다.

    1명 평가
  • 안녕하세요. 최석민 치과의사입니다.

    교정치료에서 건강보험적용, 실비적용의 핵심은 중등도 이상의 심한 부정교합으로 기능상 장애가 명확한지입니다

    사진으로 봐서는 대략적으로밖에 볼 수 없는데요, 일단 정중선이 꽤 틀어져 있고 교합되는 치아도 적어서 부정교합이 심한편이긴 합니다

    보험 적용받으려면 위와 같은 의사의 명확한 소견서가 필요합니다 대학치과병원 가보세요

    덧붙이자면, 교정도 교정인데 치주치료, 충치치료가 우선일 것 같습니다

    1명 평가