아핫뉴스실시간 인기검색어
아핫뉴스 화산 이미지
화산 아이콘 11
비트코인 강화 프로젝트
많이 본
아하

의료상담

치과

검붉은바다매42
검붉은바다매42

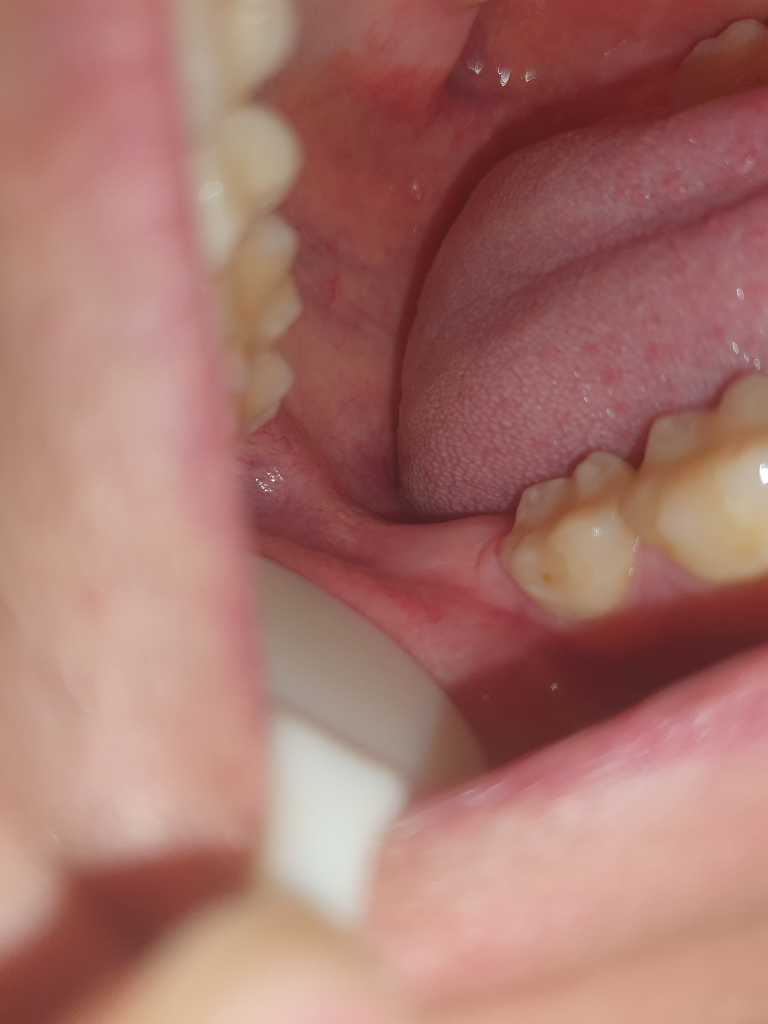
사랑니 발치한곳에 음식물이없는데 끼인느낌이 들어요

사랑니 발치한지 5개월 정도 됬습니다.


매복 수평 사랑니여서 뽑을때 엄청 힘들게 뽑았습니다.

그래서 그런지 발치후 한달쯤 되던날 아래쪽 빌치한곳 잇몸에 누런 고름이 차서 근처병원에서 소독밑 약을 받아 관리후 문제 없다는 의사선생님의 말씀을 들었습니다.


근데 어느날 부터 음식물을 먹고난 이후로 사랑니 발치한 아래쪽 잇몸에 뭔가 끼인느낌과 불편한 느낌이 들고 귀밑 턱 쪽에도 심하진 않지만 뻐근하고 신경쓰이는 느낌이 계속들다가


어느날 잇몸을 보니 잇몸이 조금 부어오른것처럼 구분이 되어져 보이는데 혹시 고름이 차서 치주농양이 된걸까요?

앞쪽어금니에는 특별한 통증이나 불편함은 없고 평소 치실도 자주 사용하여 잇몸에 피가나거나 하지는 않습니다.


그냥 계속 끼인느낌과 신경쓰이는 느낌만 드는데 이거 심각한건지 궁금하여 질문 남깁니다.








  • 1번 째 사진
  • 2번 째 사진
4개의 답변이 있어요!
  • 안녕하세요. 정진석 치과의사입니다.

    치과 방문이 필요합니다. 어금니 뒤쪽에 농양이 있을 가능성이 매우 높습니다. 사랑니 발치로 인하여 나타난 농양이라고 무조건 할 수는 없으며 앞쪽 어금니에 의해서 나타날 수도 있어 보입니다. 잇몸이 부어 있고 해당 부위에 농이 있을 가능성이 크므로 이를 제거하는 것이 맞아 보입니다. 치과를 빨리 방문하시길 바랍니다.

    아무쪼록 저의 답변이 문제 해결에 작게 나마 도움이 될 수 있기를 기원드립니다. 항상 건강하고, 행복하세요^^

    정진석 치과의사 드림

  • 안녕하세요. 김철진 치과의사입니다.

    사진상으로는 크게 문제가 없어 보입니다. 사랑니 발치한곳보다는 그 앞쪽치아 뒷편에 염증이 생겻을 가능성이 잇으니 치과에 가셔서 그쪽잇몸치료를 한번 받아보세요.

  • 안녕하세요. 안상우 치과의사입니다.

    사진으로 봤을 경우에는 큰 문제가 보이지는 않습니다.

    사랑니를 발치하고 내부에 생긴 공간으로 이물질이 들어가서 나오지 못하는경우에 내부에서 염증을 이일으키는 경우가 있기 때문에 이런경우에는 염증을 줄어주기 위햇 원인을 제거해야 해요.

    방사선 사진을 찍어서 확인을 해봐야 할것으로 생각됩니다.

  • 탈퇴한 사용자
    탈퇴한 사용자

    안녕하세요. 장인아 치과위생사입니다.

    발치후 5개월 정도 지나 내부의 뼈가 차오르는 상태일것 같습니다.

    도움이 되기를 바랍니다. 건강하세요.