아하
  • 토픽

  • 스파링

  • 잉크

  • 미션


의료상담

살짝기쁜음악가

살짝기쁜음악가

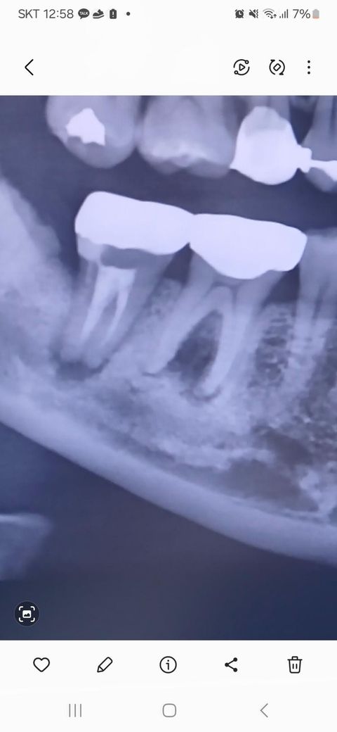
치과 엑스레이 염증 정도 궁금합니다.

염증 있는데 치아 살릴 수 있을까요

치과에서는 심각하다는데 통증은 아직 없고

자고 일어나면 염증이 차서 잇몸이 살짝 붓고

누르면 염증이 나와요 ㅠㅠ

전문가의 과잉 없는 의견이 궁금합니다.

  • 1번 째 사진

3개의 답변이 있어요!

  • 장인아 치과위생사

    장인아 치과위생사

    미소인치과

    안녕하세요. 장인아 치과위생사입니다.

    염증이 있고 치료를 해서 사용할수도 있지만 장기적으로 봤을때는 발치후 임프란트가 유리할수 있습니다. 건강하세요.

  • 안녕하세요. 최석민 치과의사입니다.

    만성농양의 상태로 두 치아 다 (재)신경치료해줘도 살리기 쉽지 않습니다 만성이니 통증은 없어도 뼈가 많이 녹았습니다

  • 안녕하세요. 한성미 치과위생사입니다.

    고름이 밖으로 배출되고있기 때문에 통증이 없는 것이고, 만약 고름이 잇몸안에 갇혀있다면 심하게 붓고 많이 아플 것입니다. 단 1~2년이라도 더 사용하기 위해 최선을 다하고 싶다면 신경치료를 해볼 수 있겠지만, 고생은 고생대로 하고 돈은 돈대로 냈는데 결과가 좋지 못하면 좋은 소리를 못듣기 때문에 대부분의 치과에서 발치권유를 할 것 같습니다. 가망이 없다고 판단이 되면 빨리 발치해서 임플란트를 준비 하는 것이 뼈손실을 줄일 수 있는 방법입니다. 뒷치아에도 염증이 있고, 사진에 나온 부분만 봤을 땐 앞치아는 멀쩡하기 때문에 괜히 앞뒤치아를 묶어 씌우는 방식보다는 한개씩 임플란트를 하는게 더 좋을 것입니다. 당장 임플란트 계획이 없고, 본인치아를 좀 더 써보고 싶다면 염증을 짜내고 항생소염제를 처방받아 드시면 잠깐 가라앉힐 수 있으나 다시 염증이 반복적으로 생길 것이고, 염증으로 인해 뼈는 점점 없어질 것입니다.