아핫뉴스실시간 인기검색어
아핫뉴스 화산 이미지
화산 아이콘 11
정청래 합당 제안
많이 본
아하

의료상담

치과

끝까지촉촉한데이지
끝까지촉촉한데이지

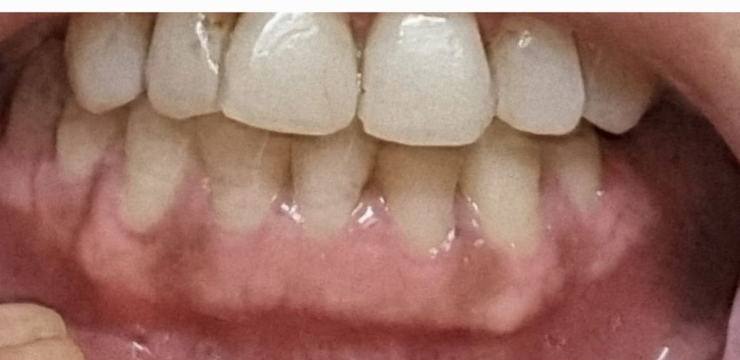
잇몸이 검게 변했는데 왜이러는걸까요

오늘발견했는데요

구내염이나이런건없었습니나

컨디션이안좋고생리중이구요

흡연은했었습니다 갑자기 유난히까만해보이는데요

큰병에걸린건가요 구강암이나..너무무서운데요

앞니 1번하고 5번아래가 유독그러네요

확대해서봐주세요 놀래서잠이안오네요ㅜㅜ

  • 1번 째 사진
  • 2번 째 사진
5개의 답변이 있어요!
  • 안녕하세요. 김지훈 치과의사입니다.

    잇몸 이 검게 변하는 것은 보통 멜라닌 색소의 침착에 의해서 그런 경우가 많으며 치료는 필요하지 않습니다.

    1명 평가
  • 안녕하세요. 김철진 치과의사입니다.

    치아에 착색이 발생한거 같습니다. 치과에 가셔서 스켈링을 받으시면 제거가능하니 치과에 가셔서 스켈링을 받아보세요.

    1명 평가
  • 안녕하세요. 안상우 치과의사입니다.

    잇몸은 멜라닌 세포 등이 착색되게 되면 어둡게 보일 수 있습니다. 하지만 잇몸이 어둡게 보이는 건 크게 문제가 되는 상황은 아닙니다.

    1명 평가
  • 안녕하세요. 최석민 치과의사입니다.

    잇몸에 검게 변하는 것은 잇몸 자체에 염증이 있어 생긴 잇몸질환이거나 전신질환의 영향을 받습니다. 또한 흡연의 영향을 받기도 합니다.

    1명 평가
  • 안녕하세요. 송우식 치과의사입니다.

    현재 사진상 구강암일 가능성은 낮으며 흡연으로 인해 니코틴과 타르가 잇몸에 착색을 일으킬 수 있습니다. 보다 정확한 확인을위해서는 치과진료를 받길 권하며, 흡연자는 보다 자주 치과에 방문하여 스케일링을 받아 치아와 잇몸을 관리하는 것이 중요합니다.

    만족스러운 답변되셨으면 합니다.

    <평가> 감사합니다.

    1명 평가