아핫뉴스실시간 인기검색어
아핫뉴스 화산 이미지
화산 아이콘 11
비트코인 기업 충격
많이 본
아하

의료상담

치과

고요한오솔개234
고요한오솔개234

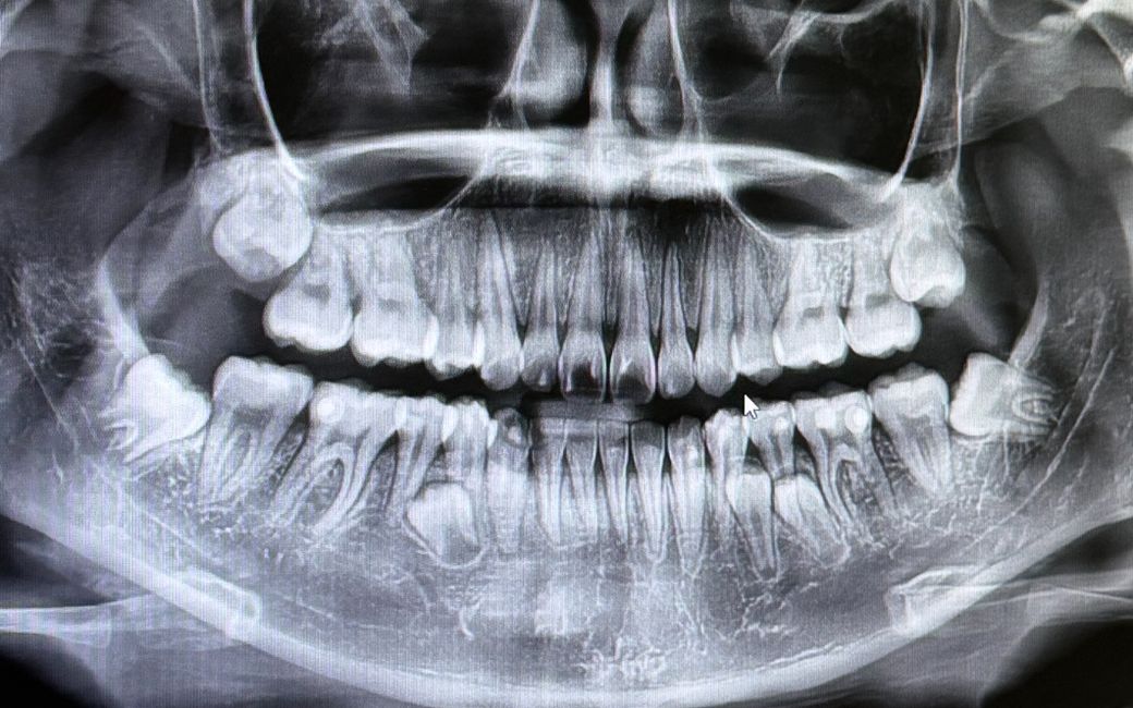
성인 잇몸안에 과잉치 발치 해야하나요?

보시다시피 잇몸 안에 치아가 있는데 과잉치라고 하더라고요 잇몸 밖으로는 나오지 않았고 참고로 현재 교정 후 유지장치 할 계획인데 발치가 필요할까요? 발치한다면 지금 치아에는 영향이 없는 위치인가요?

  • 1번 째 사진
4개의 답변이 있어요!
  • 안녕하세요. 김지훈 치과의사입니다.

    과잉치는 발치를 한 후에 교정치료를 하는 것이 좋으며 지금 치아에는 영향 없을 것 같습니다.

  • 안녕하세요. 김철진 치과의사입니다.

    성인이시라면 특별한 이유가 없다면 발치를 안하셔도 크게 문제가되거나 하진 않습니다. 발치를 안하셔도 될것같습니다.

  • 안녕하세요. 안상우 치과의사입니다.

    과잉치가 정상치하에 뿌리를 흡수하거나 맹출을 방해할 가능성이 있다면 발치를 하는 것이 좋습니다 교정 치료의 계획에 따라서 발치 여부를 결정하시면 될 것으로 생각됩니다

  • 안녕하세요. 최석민 치과의사입니다.

    교정 중의 치아 이동에 영향을 미칠 수 있는 과잉치 위치입니다. 교정 치과의사와 상의가 필요해보입니다.

    현재 치아의 치근흡수에도 영향을 미칠 수 있습니다.