의료상담
사랑니 발치 후 빈 공간에 뭐가 난 것 같아요
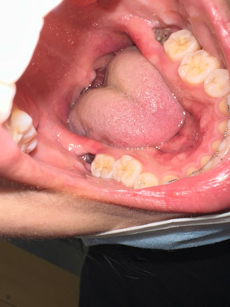
사랑니 발치 후 빈공간을 보면
사진처럼 흰색에 점있는 것들이 발치 후 남은 구멍에 있는데 음식물은 아닌 것 같아요 뭘까요? 통증도 있습니다
55글자 더 채워주세요.
4개의 답변이 있어요!
안녕하세요. 김지훈 치과의사입니다.
사랑니 발치후에는 상피세포가 하얗게 차오르면서 잇몸이 회복됩니다. 통증이 없으면 걱정안하셔도 됩니다.
안녕하세요. 김형준 치과의사입니다.
실밥을 너무 일찍 풀었을 경우 발치와 내부의 혈병이 빠져나가 회복이 지연되는 Dry socket이라는 상태가 될 수도 있으나.
통증이 심하지 않고 발치한지 시간이 얼마 지나지 않았다면 아직 회복 단계에 있는 자연스러운 과정이라고 볼 수 있습니다.
사진상으로는 정확히 보이지는 않으나
아마 저 회색은 치유과정에 생긴 보호막인 상피조직일것입니다.
그래도 혹시 모를 dry socket을 예방하기 위하여 근처 치과에 내원하여 예방적 처치를 받아보실것을 권유드립니다.
안녕하세요. 김철진 치과의사입니다.
발치를 하고 나면 잇몸이 치유되는과정중에 나타나는 현상입니다. 크게 문제가 잇는건 아니니 너무 걱정하지 않으셔도 됩니다.
안녕하세요. 송우식 치과의사입니다.
현재 발치부위가 아무는 단계로 보이며 문제가 있어보이지는 않습니다. 발치후에 1주일정도는 통증 및 붓기가 동반될수 있습니다.
궁금증 해소에 도움이 되시길 바라며, 도움이 되신 경우 ‘추천’ 부탁드립니다. 감사합니다.

