아핫뉴스실시간 인기검색어
아핫뉴스 화산 이미지
화산 아이콘 11
한동훈 제명 발표
아하

의료상담

치과

103084
103084

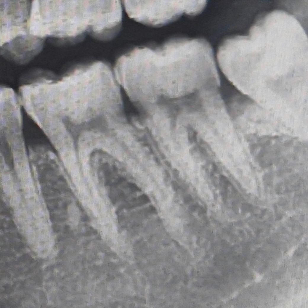
이거 혹시 인접면 충치일까요????

잦은 질문 죄송합니다 ㅠㅠ

치과에서 여러 검사를 했는데 별 말씀 없으셔서요

밀도가 낮아서 이렇게 찍힌건지 아니면 인접면 충치인지 궁금합니다...시리거나 그런 증상은 딱히 없어요!

사랑니는 잇몸에 덮여있긴 한데 아직 발치 안해도 된다 하십니다!

  • 1번 째 사진
  • 2번 째 사진
4개의 답변이 있어요!
  • 안녕하세요. 김지훈 치과의사입니다.

    위 사진만으로는 명확히 알 수 없지만 충치일 가능성은 낮아보입니다. 주기적으로 관찰해보시면 됩니다.

    1명 평가
  • 안녕하세요. 김철진 치과의사입니다.

    저부분은 파노라마로는 저부위가 충치인지 확인하는게 부정확 할수 있습니다. 작은 사진을 한번 찍어보셔야될것같습니다.

    1명 평가
  • 안녕하세요. 천우선 치과 전문의입니다.

    왼쪽 밑에 사랑니 앞에 치아는 치경부 소환이라는 현상으로 아마 충치가 아닌 거 같습니다

    두번째 사진인 오른쪽 밑에 치아는 예전에 인레이 치료를 한거 같은데 여기는 한번 더 충치 인지 검사 해 봐야 할거 같습니다

    1명 평가
  • 안녕하세요. 최석민 치과의사입니다.

    1. 해당부위는 치경부 소환과 충치를 구분하는 진단이 필요합니다 치경부소환은 일종의 엑스레이 왜곡입니다 파노라마 말고 작은 치근단 사진 찍어봐야하고요

    2. 인접면 충치, 사랑니 충치가 의심되긴 합니다

    1명 평가