아하
  • 토픽

  • 스파링

  • 잉크

  • 미션


의료상담

조용한직박구리210

조용한직박구리210

치경부 마모증 미세하면 gi 치료 불가능한가요?

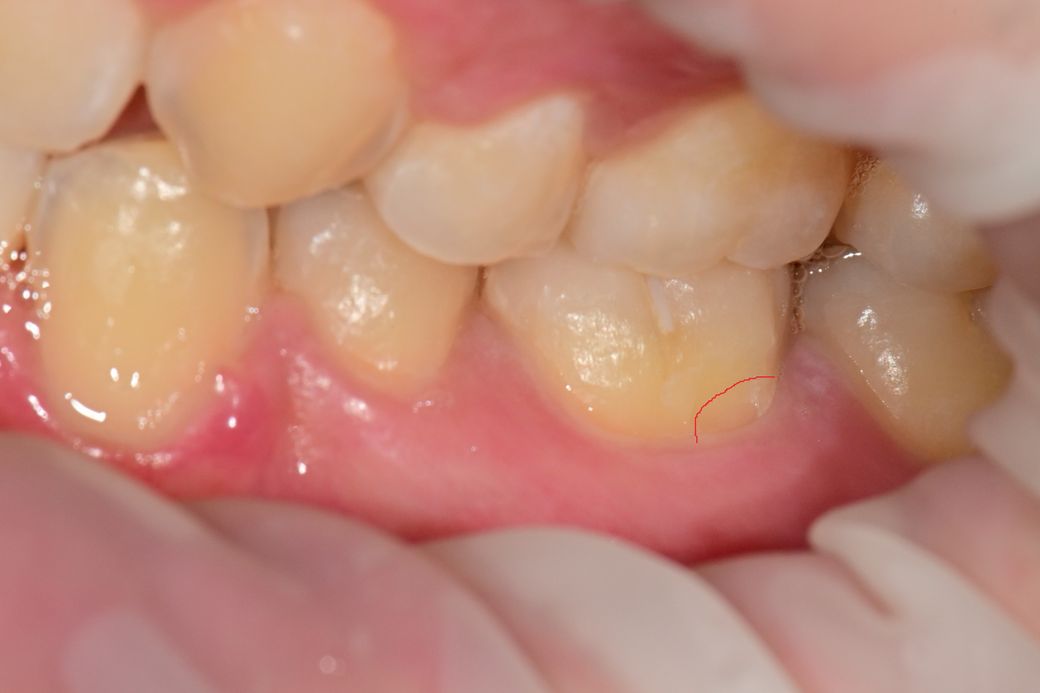
치경부마모증때문에 이가 시려서 (왼쪽 하악 끝에서 2번째 어금니) 치과 방문하니 법랑질이 떨어져나갔다고 합니다

사진처럼 크게 진행되진 않았는데 치과에서 gi는 불가능하고 레진이나 본드필만 된다고 합니다

이정도면 gi 불가능한가요?

빨간색으로 표시한부분입니다

  • 1번 째 사진

5개의 답변이 있어요!

  • 김철진 치과의사

    김철진 치과의사

    가까운우리치과

    안녕하세요. 김철진 치과의사입니다.

    gi로 해도 되지만 쉽게 떨어져서 레진을 권유하신거 같습니다. gi로 하셔도 상관은 없습니다 .

  • 안녕하세요. 안상우 치과의사입니다.

    해당 부위는 GI로 메꾸기에는 너무 작은 범위로 보입니다. 쥐어의 경우에는 어느정도 표면적이 나오거나 부피가 있어야 강도가 유지되기 때문에 사진과 같은 얇은 부위를 수복하는데 적합하지 않을 것으로 생각됩니다.

  • 안녕하세요. 김지훈 치과의사입니다.

    치경부 마모증이 미세하다고 gi가 안되는 것은 아니지만 쉽게 떨어질 가능성이 높습니다.

  • 안녕하세요. 최석민 치과의사입니다.

    깨져나간부위가 너무 작아서 레진이나 gi 재료 상관없이 잘 떨어질 것 같습니다. 한다면 레진으로 좀 더 정교하게 하여 조금이라도 유지력을 높이는 것이 좋을 것 같습니다만 또 반대로 생각하면 금방 떨어질 수 있기에 보험되는 재료인 gi로 하자고 하는 치과도 있을 것입니다. gi를 강력히 원한다면 타 치과 알아보시기 바랍니다.

  • 안녕하세요. 송우식 치과의사입니다.

    레진이 gi 보다 내구성이 더 좋기에 어금니부분의 경우에 저작력이 강하게 가해지는 분위로 레진으로 치료를 하는 것이 보다 안정적입니다.

    만족스러운 답변되셨으면 합니다.

    ★평가★ 감사합니다.